Eライン 口ボコ
最近の患者さんのご希望としてEラインを綺麗にしたい、口ボコを治したいという方がとても多いです。
この方もそれを希望して来られました。

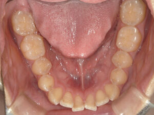
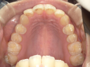
矯正前の口腔内の状態です。それほどの歯並びに乱れはないようです。


user comment….

user comment….

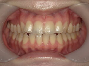
矯正後です。
綺麗に前歯が中に入りました。




御口元も入って綺麗になりました。


矯正前と矯正後の骨格の写真のトレースです。
外科手術併用の矯正と思われるほど骨格から中に入っているのが分かります。
患者さんにはいつもお伝えしているのですが、矯正は歯にワイヤーとブラケットと通じて力をかけるだけです。
ご自分の体の新陳代謝で骨の細胞の入れ替わりで歯(歯根)が動くのです。
よって代謝が早くて動きやすい人とそうでない人がいるのです。








カテゴリー :