歯根吸収その後
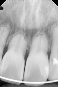
歯根吸収している患者さんです。
この方体質的に抗炎症剤を飲めない方でロキソニンを処方出来ないため歯根吸収が進行してしまった方です。
グルテンフリーのお話をして2025年7月から実行してもらいました。
グルテンフリーの効果が出るのに3ヶ月以上かかります。
2025年7月
2025年12月
歯根の周囲の骨の白い部分が少なくなったのは炎症が少なくなった証拠です。
グルテンフリーは歯根吸収の原因の骨の炎症にも関係するのが分かります。
但しいったん良くなっても少しでもグルテン摂取するとまた元に戻って炎症が再発するので要注意です。








カテゴリー :