全顎ワイヤー矯正 症例(8)
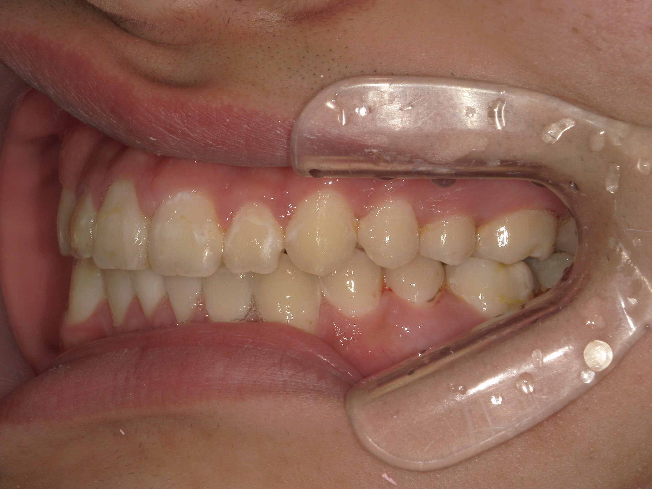
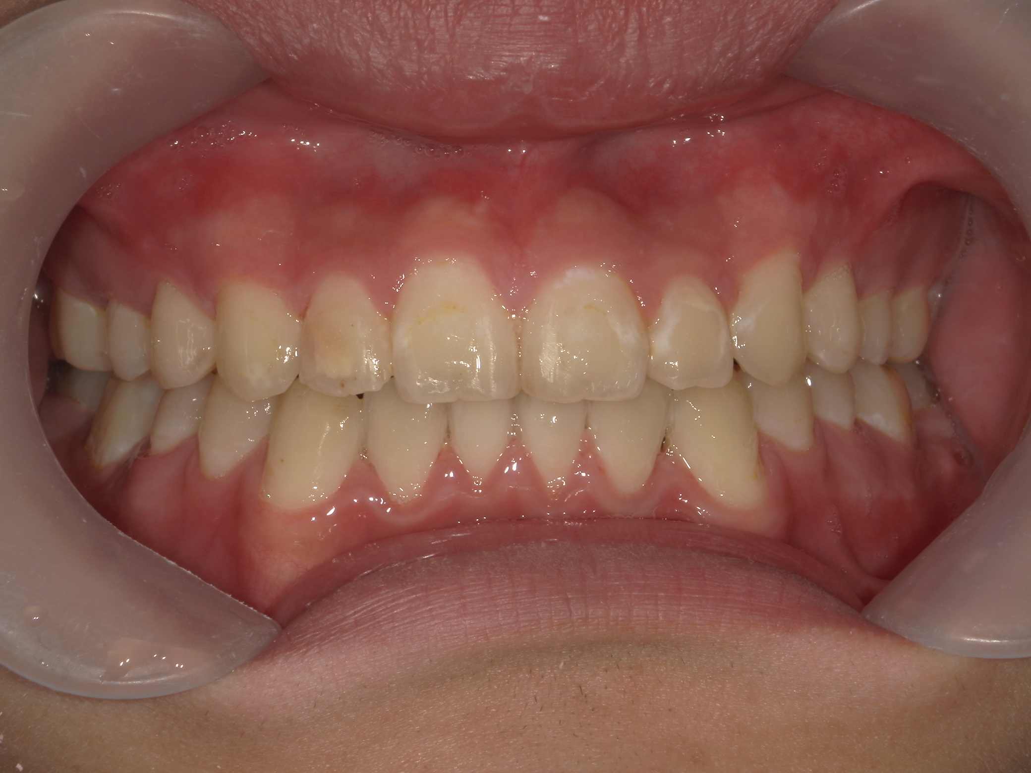
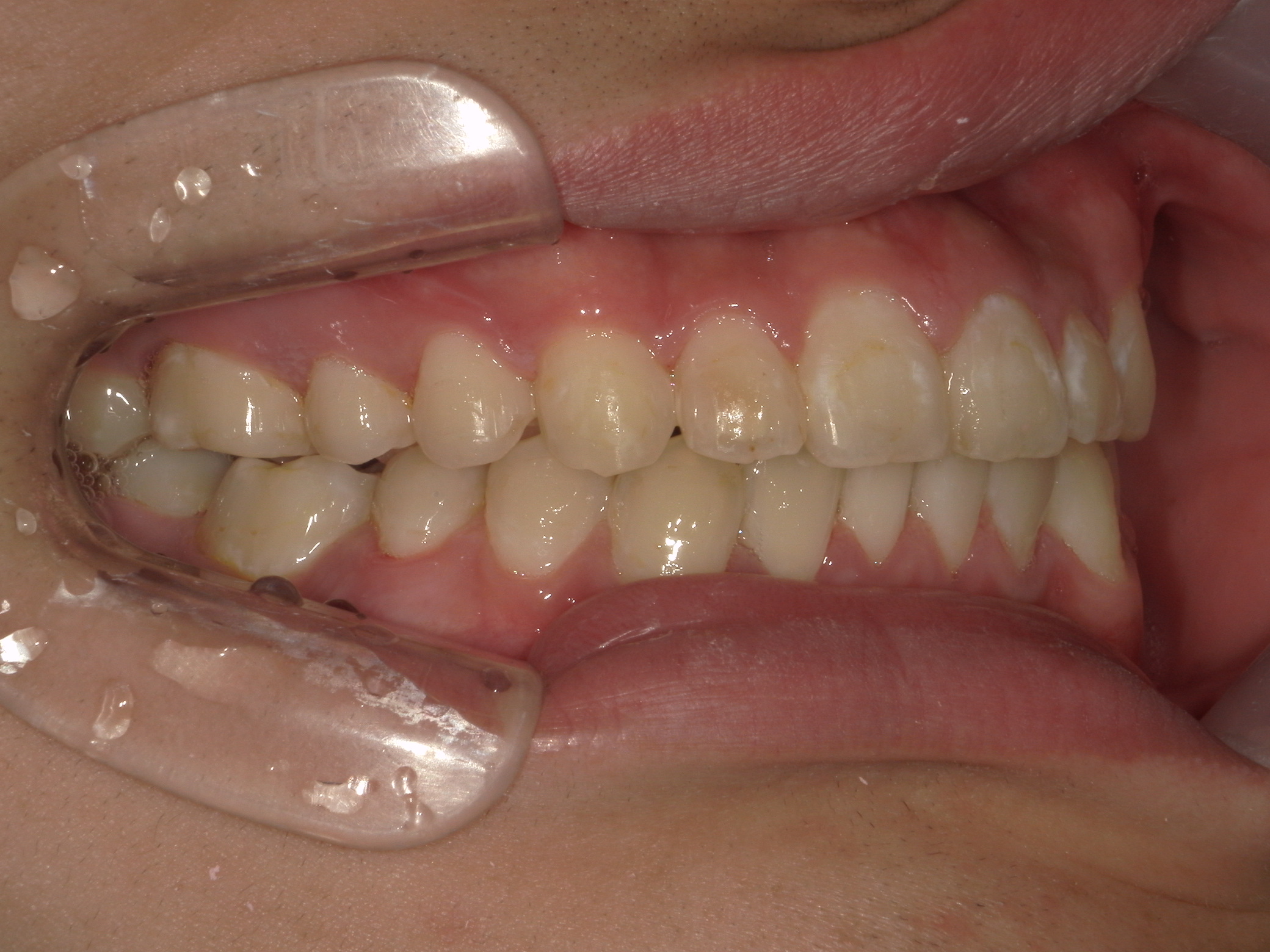
主訴: 受け口を治したい
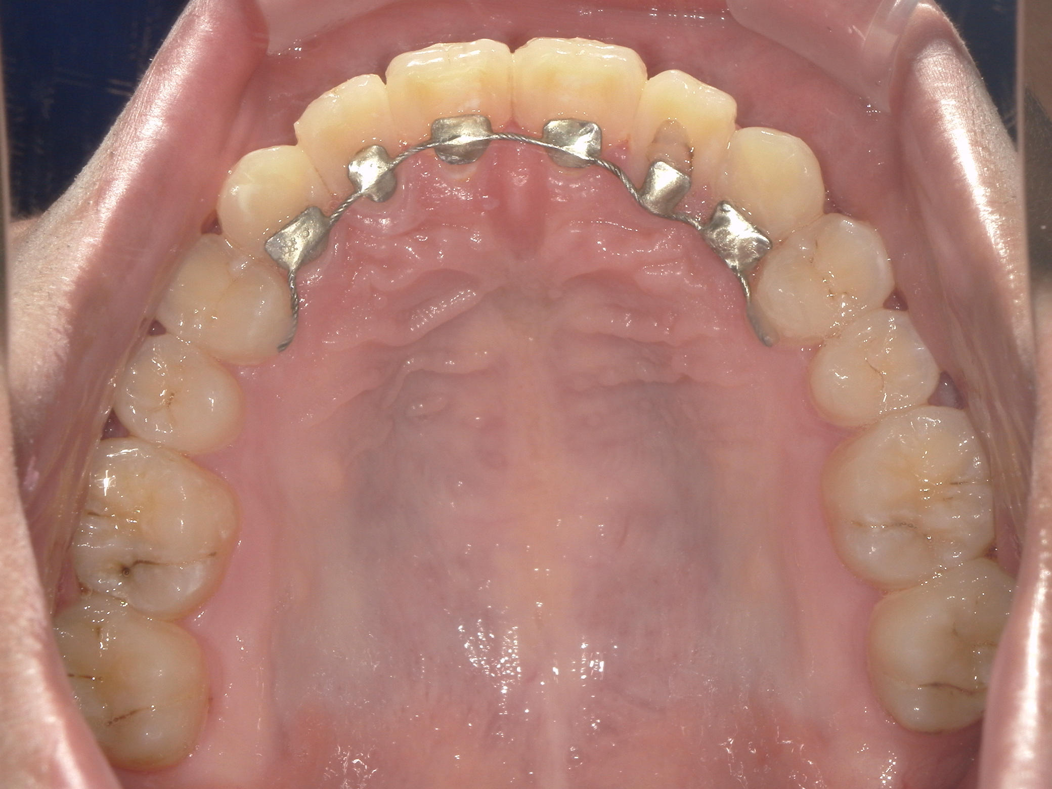
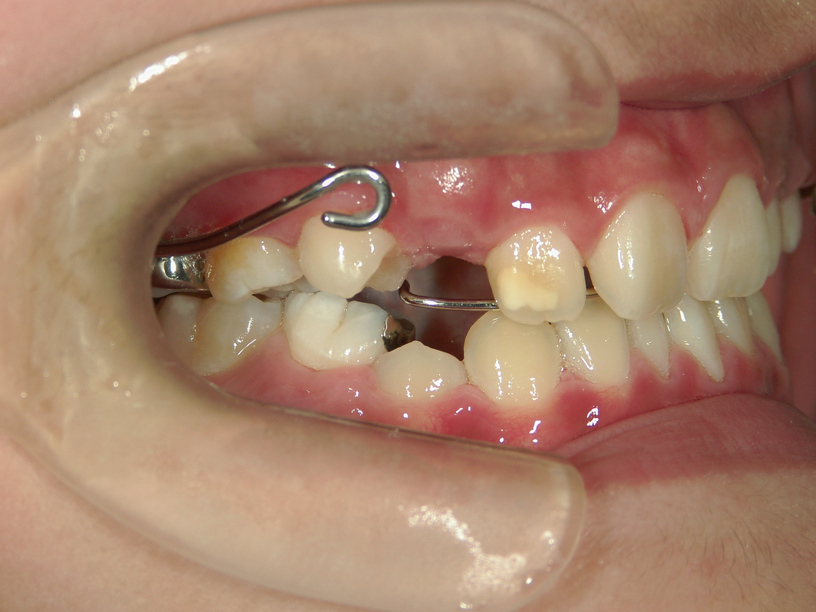
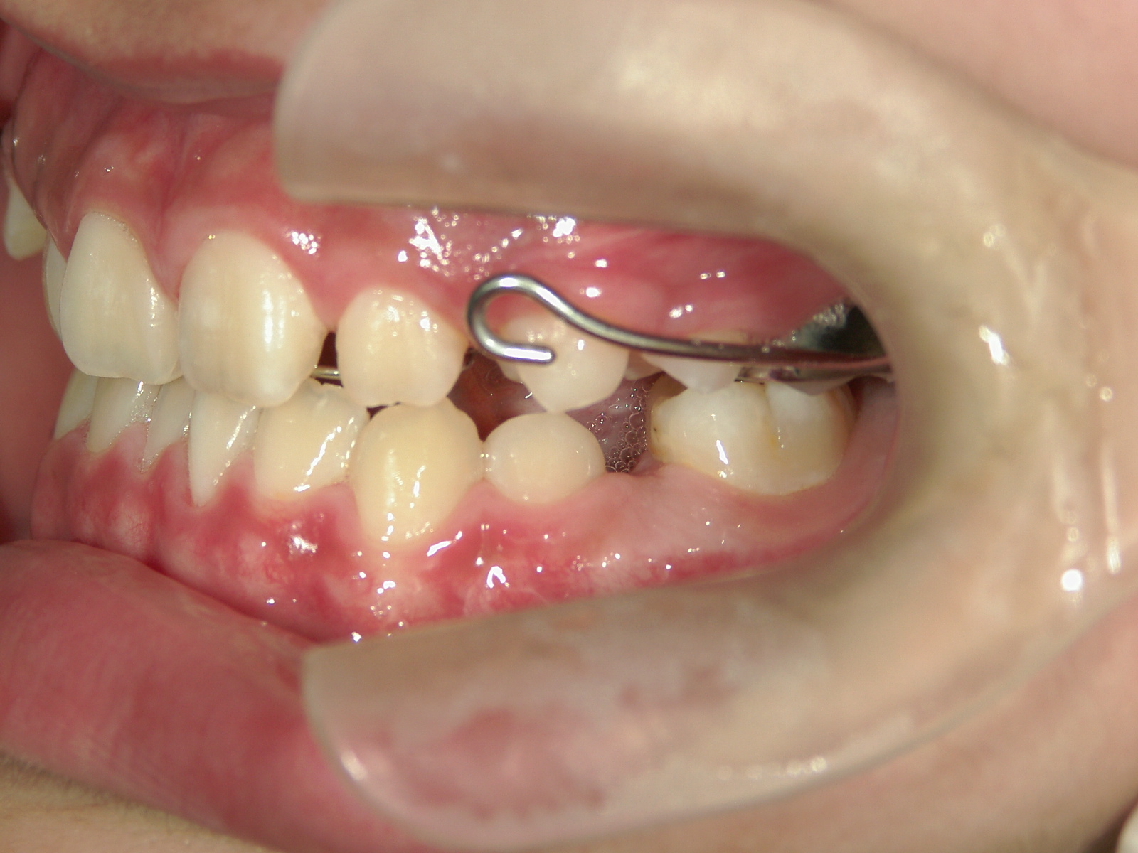
ミニインプラントを併用。
治療の流れ
急速拡大装置で反対咬合を改善しましたが、
身長が伸びてきたことによって下顎が成長し、反対咬合に戻りそうだったため、
ワイヤー矯正をスタートしました。
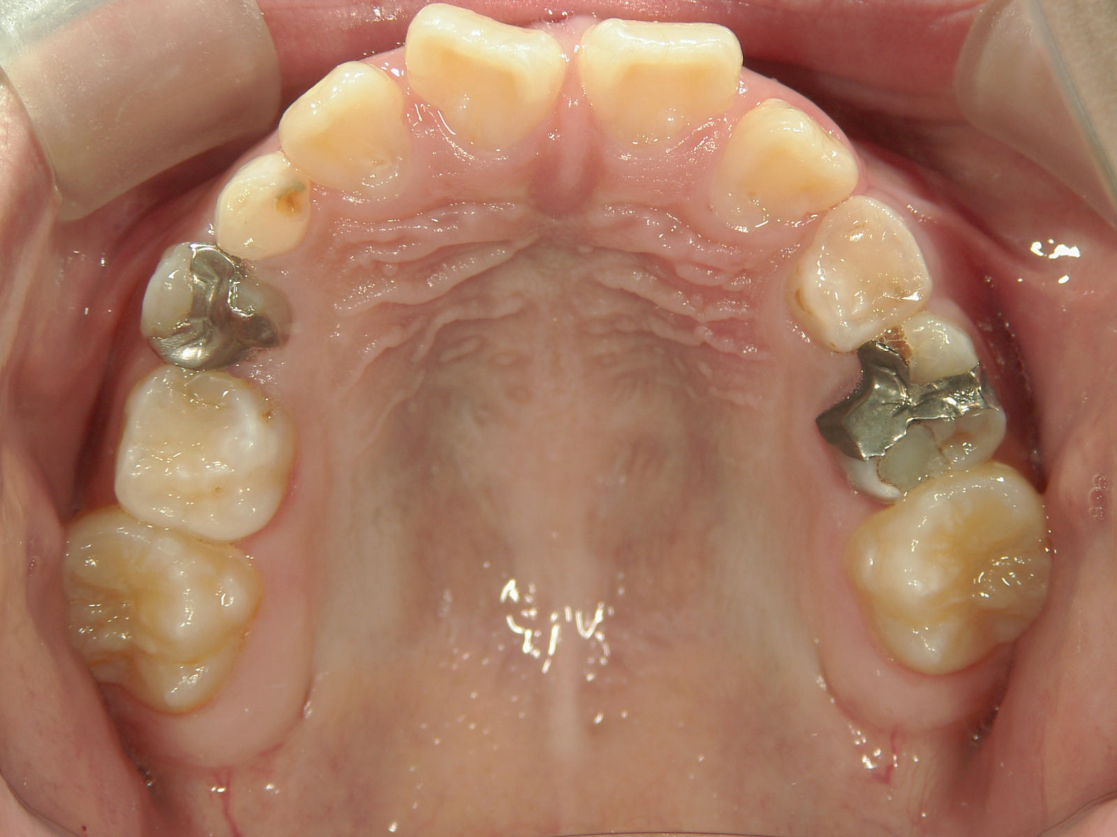
①ワイヤー矯正をセットし、叢生を改善しました。
②下顎にミニインプラントを併用して、後方移動させました。
| 年齢 | 20代男性 |
|---|---|
| 居住地 | 県西部在住 |
| 治療期間 | 2年4ヶ月 |
| 費用 | 「診断料 27,500円」 「急速拡大装置 110,000円」 「ミニインプラント4本 110,000円」 「治療代 792,000円」 「月々の調整費 5,500円」 |
| リスク | ・矯正装置装着後、数日間は歯が浮いたような痛みがあります。 ・ワイヤーや器具が歯茎や唇にあたり、傷や口内炎ができやすくなります。 ・稀に、歯を動かすことで歯根吸収、歯髄壊死を起こす可能性があります。 ※歯根吸収…歯の根が短くなること ※歯髄壊死…歯髄(歯の中の神経を含めた組織)が死んでしまうこと ・成長期の歯並びに影響したり、親不知が生えたり、顎関節症の原因となる場合には、 抜歯をする可能性があります。 ・矯正治療途中で、白いプラスチック(レジン)を使って、歯の形態修正を行う可能性があります。 また、エナメル質を削って隙間を作ったり、抜歯を行う可能性もあります。 ・白い被せ物(セラミックなど)や、保険外の被せ物をされている方は、 歯の表面にブラケットなどの器具を付けるため、除去する際に欠けるなどの破損したり、 形が変わるなどの審美性が損なわれる可能性があります。 ・矯正治療中に虫歯が発見された場合は、同時に治療することも可能ですが、 歯の形に大きく影響がある場合は、矯正治療を中断する可能性もあります。 ・矯正治療中、口が開きにくくなったり、顎に音がするようになったり(クリック音)、 痛くなったなどの症状が出た場合にはすぐにお知らせください。 その場合は、顎関節の治療をすることがあります。 |








カテゴリー : 受け口(下顎前突)