インビザライン矯正 症例(30)
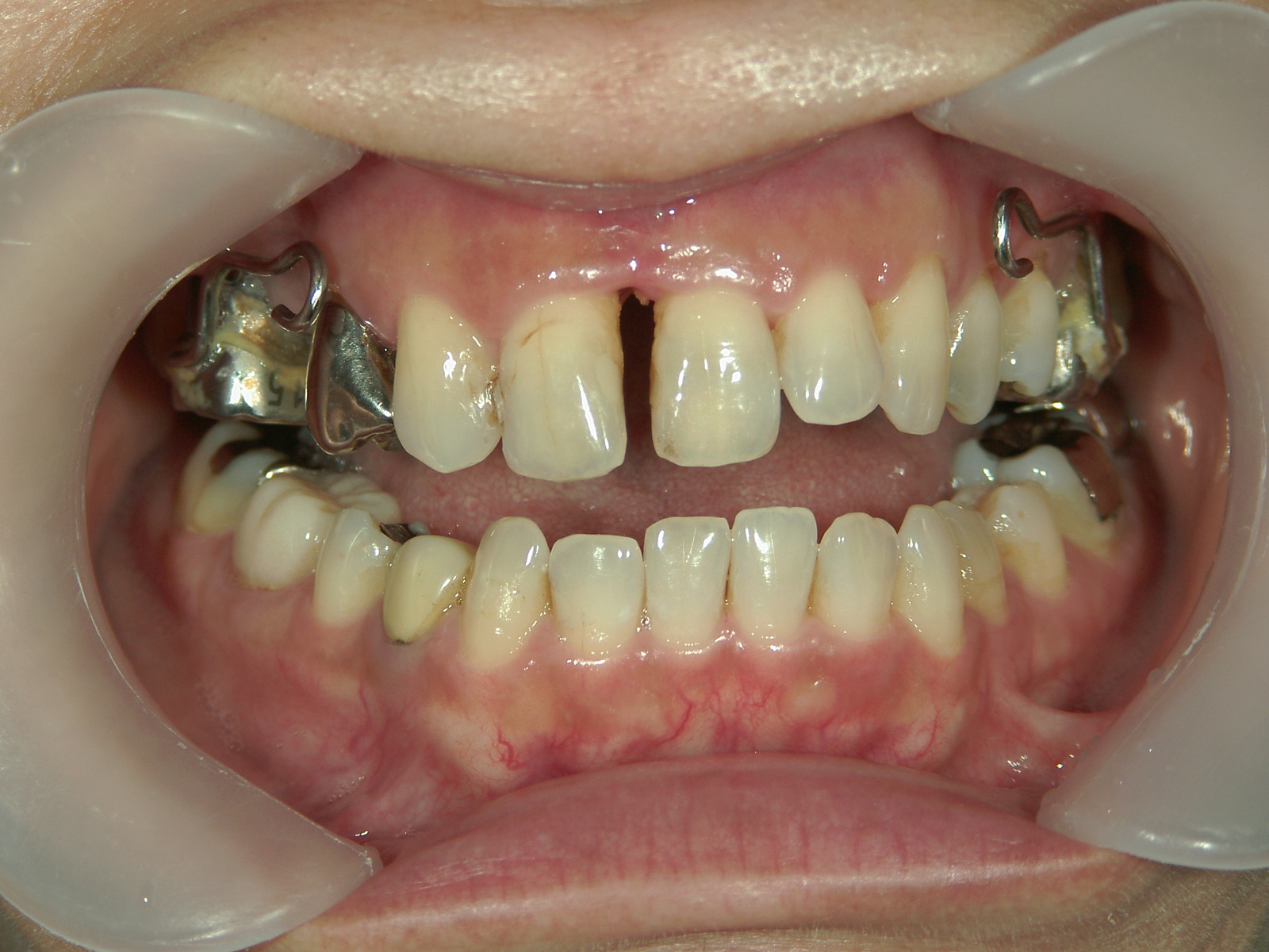
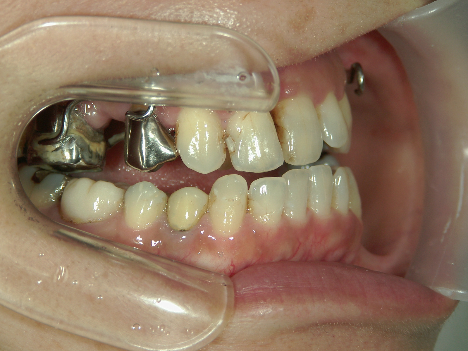
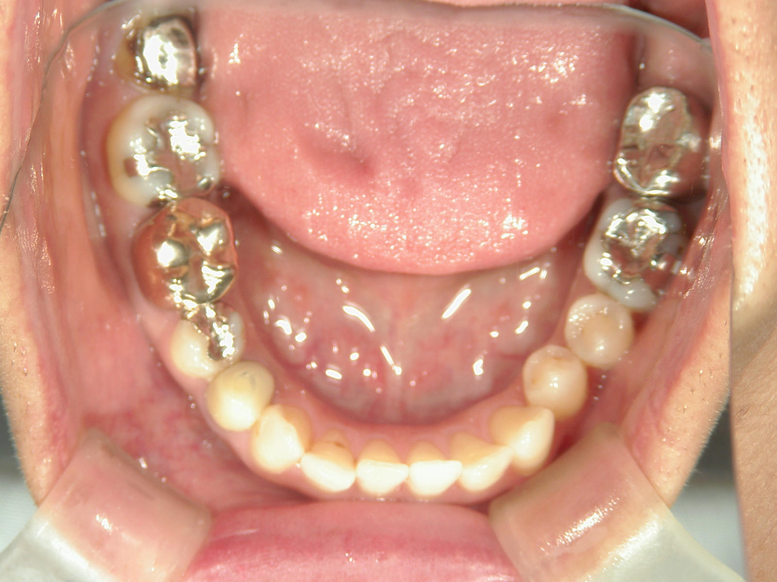
主訴: 受け口、歯並びが気になる。
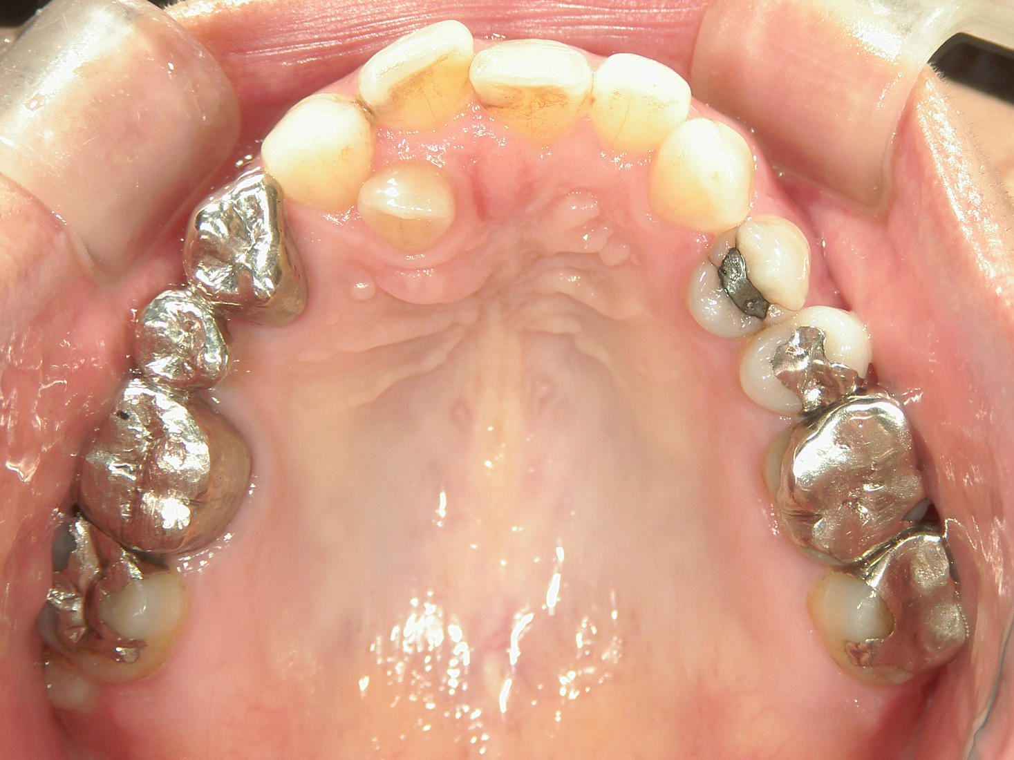
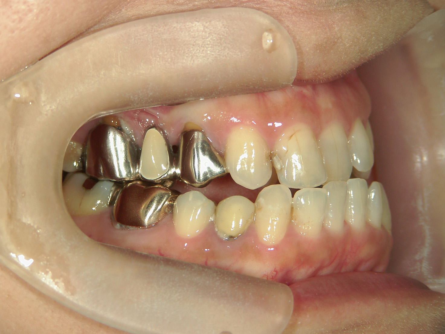
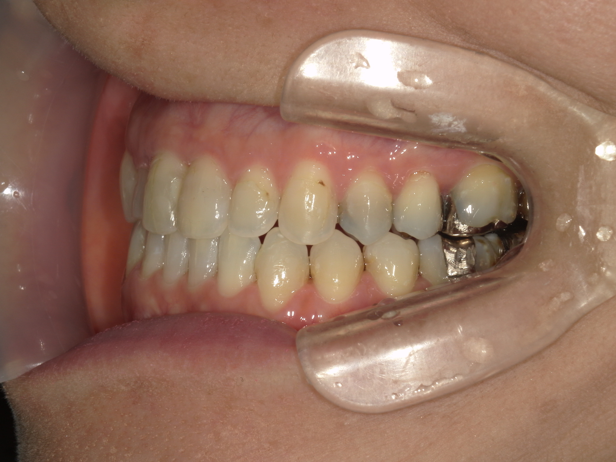
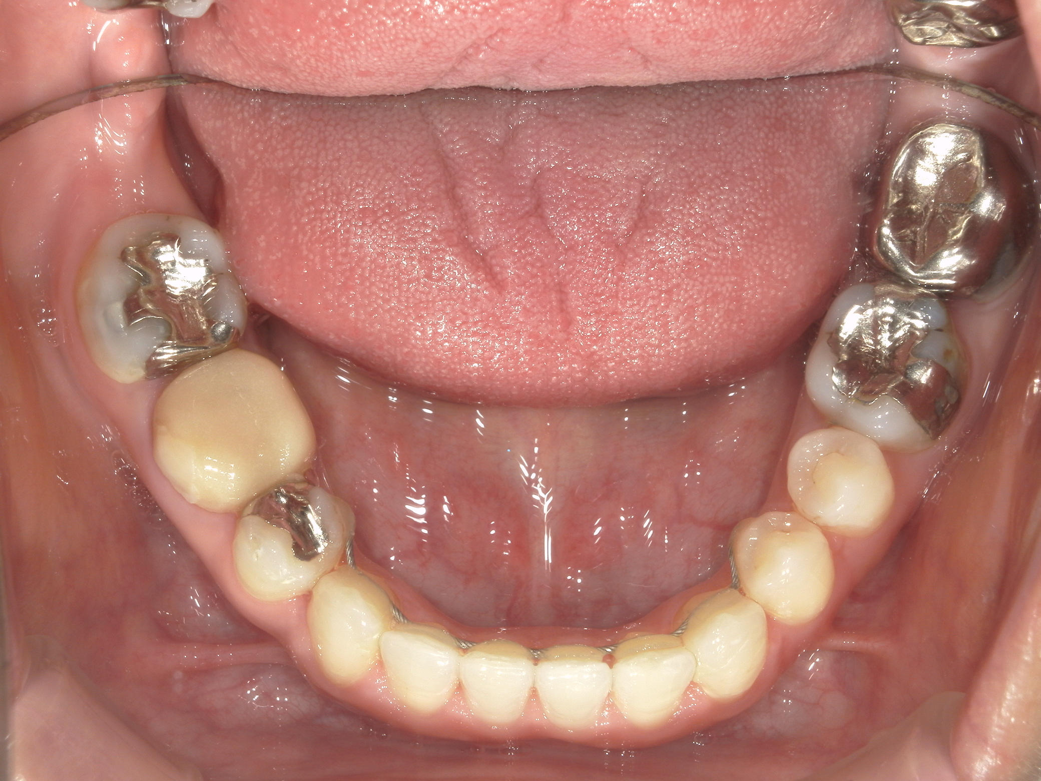
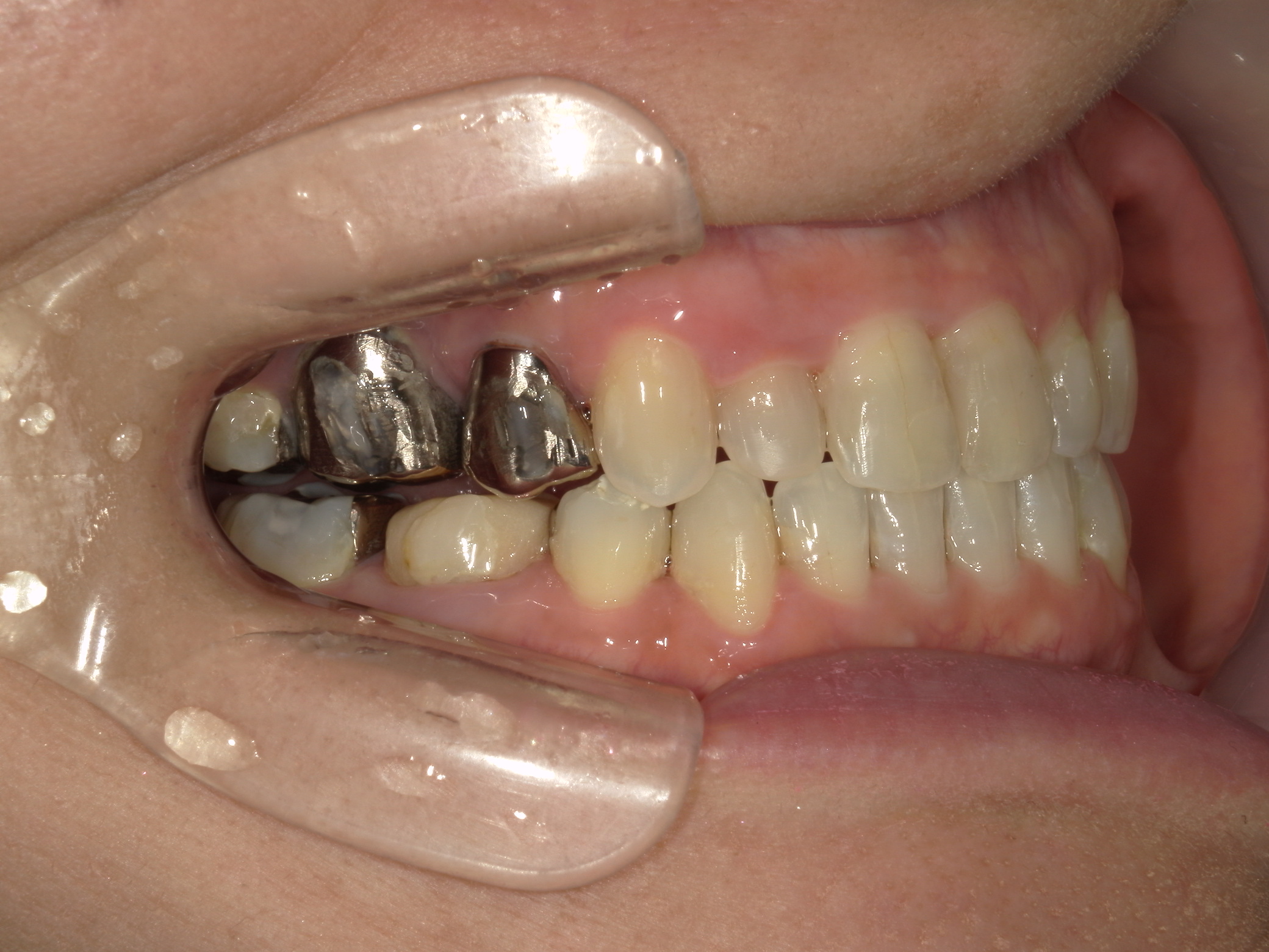
右下第一小臼歯(1本)、右下親不知(1本)を抜歯。
右下第一大臼歯をセラミックへ変更。
上顎骨切断OPE、矯正装置(MSE+フェイスマスク)、ワイヤー矯正を併用。
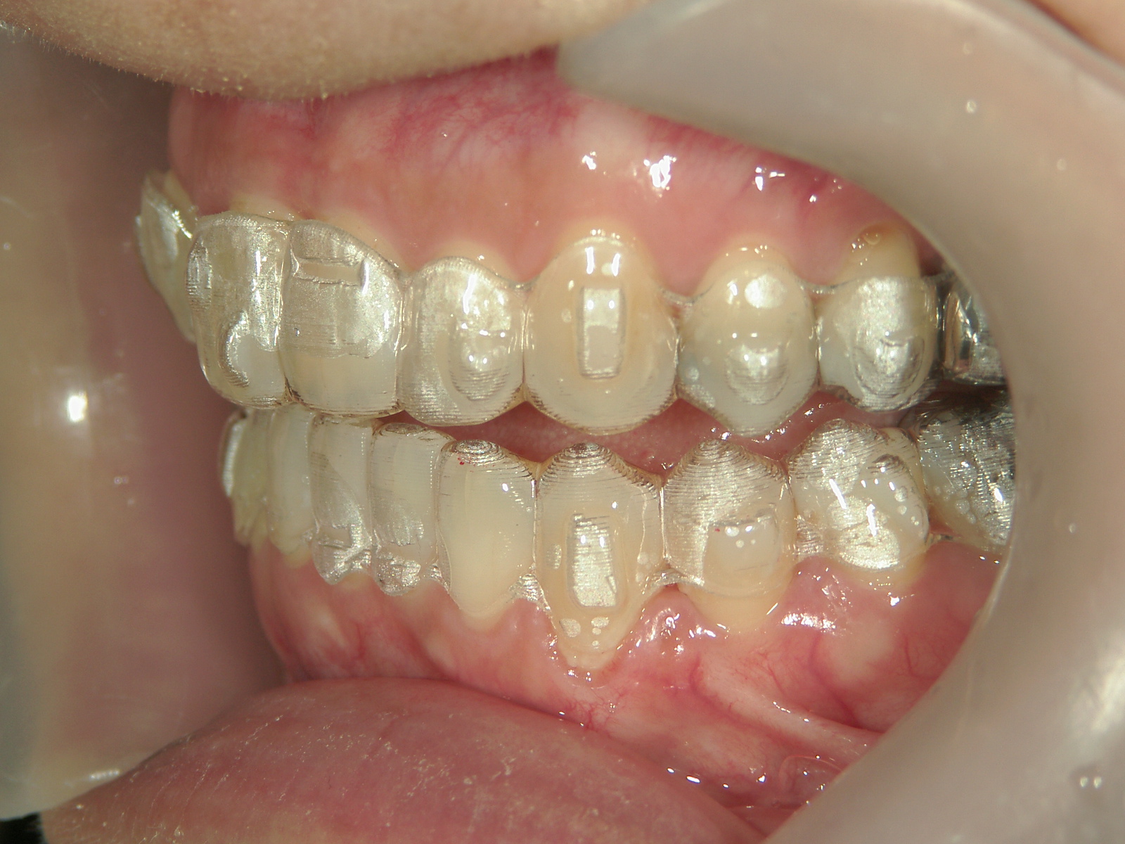
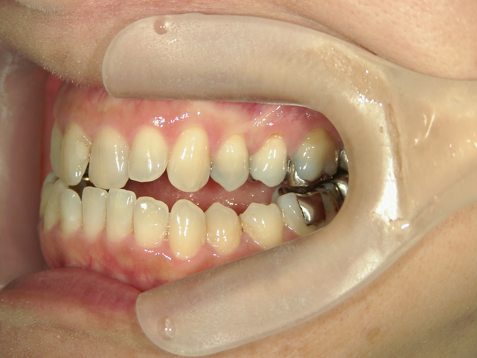
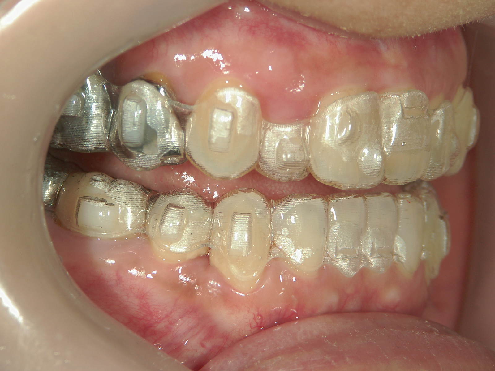
治療の流れ
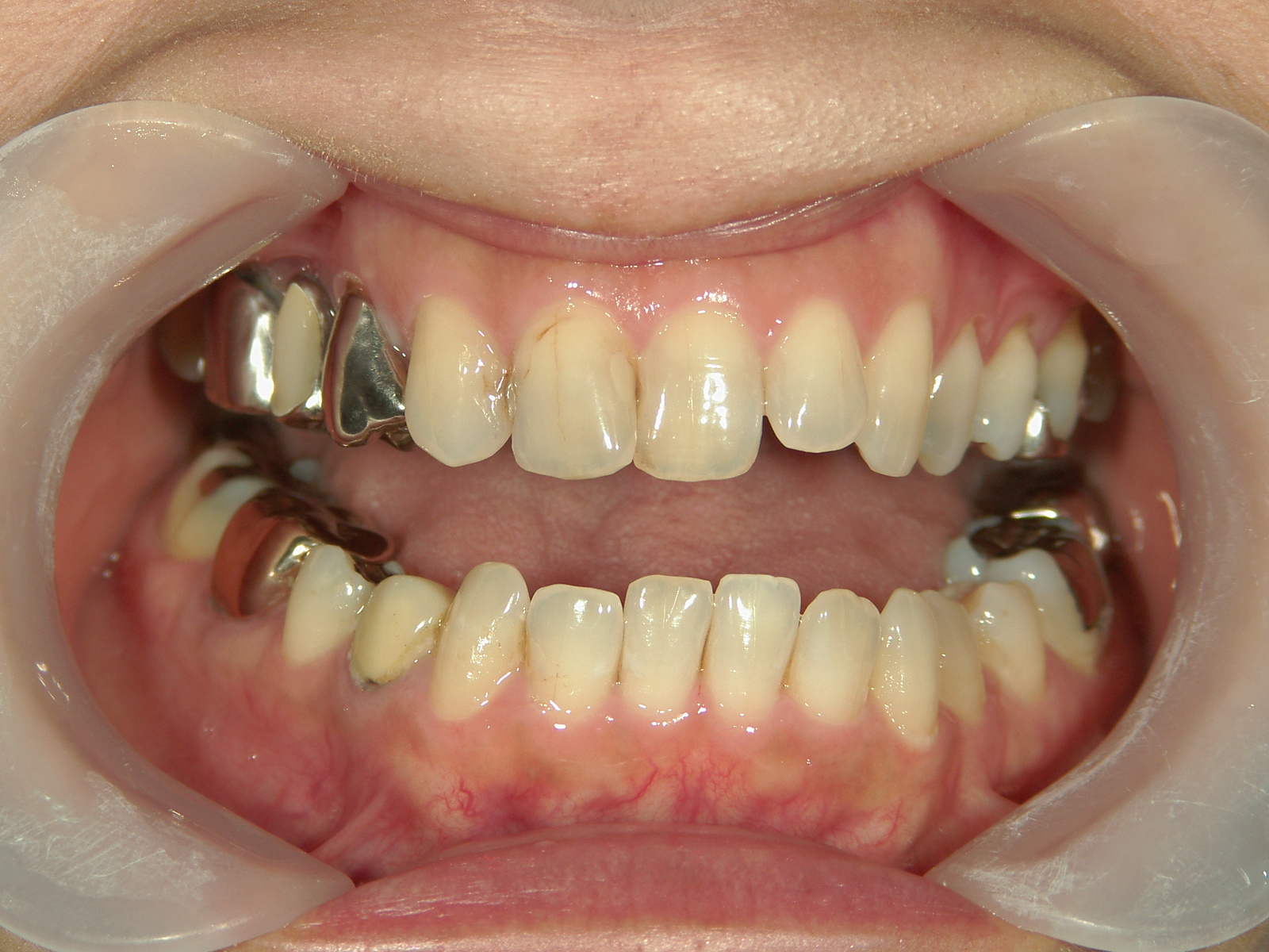
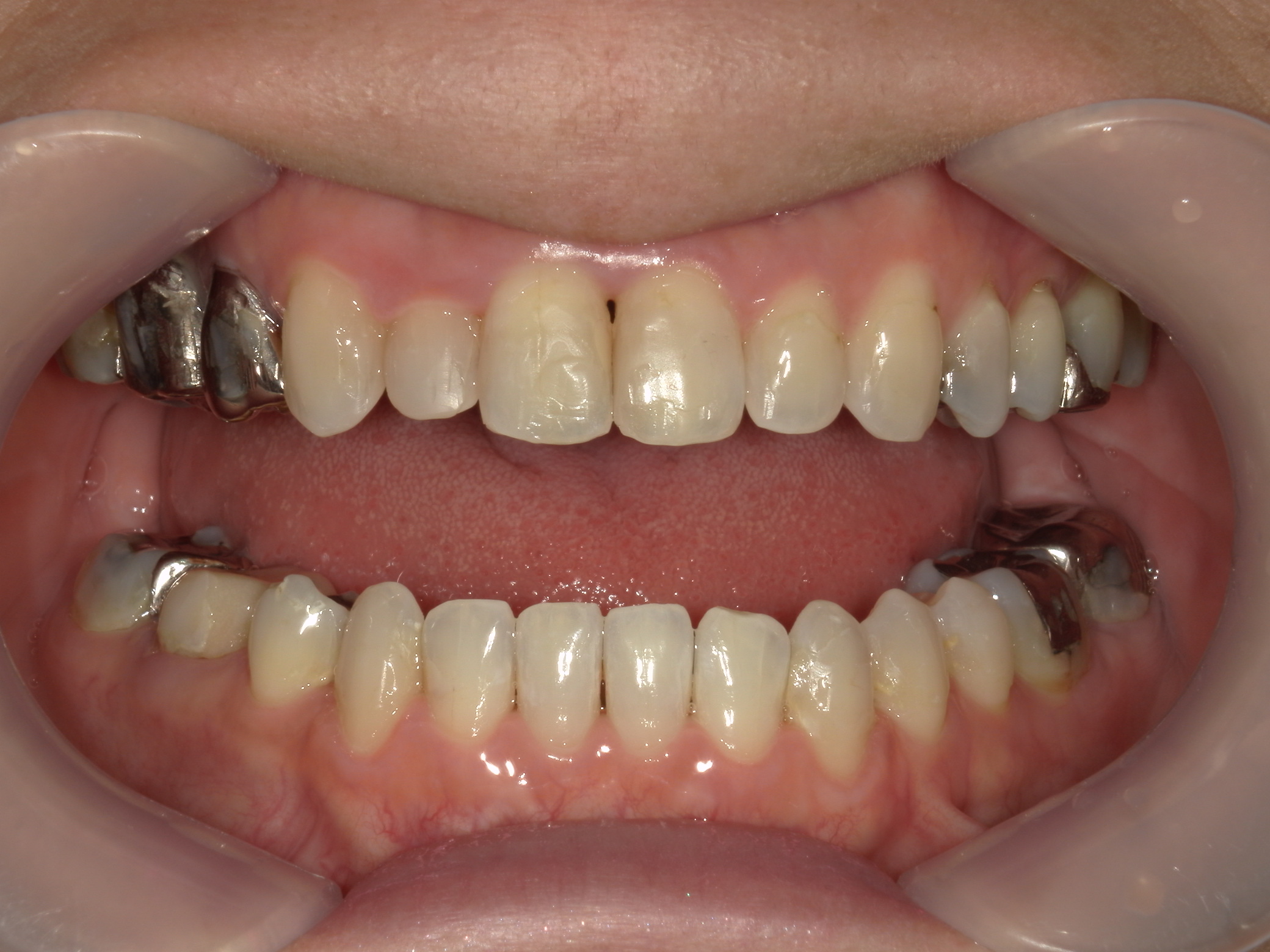
①患者様はインビザライン矯正をご希望でしたが、上顎骨が小さく、受け口になっているので、インビザライン矯正で治療するために「骨切断OPE」「矯正装置(MSE+フェイスマスク)」で上顎骨を拡大しました。
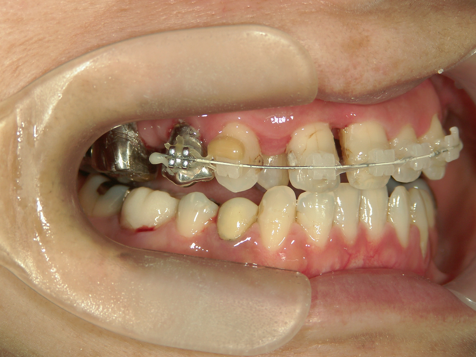
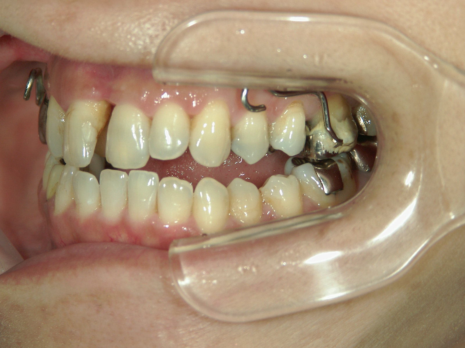
②右上前歯が内側に入っているため、歯列に入る隙間を作るためにワイヤー矯正を併用し、右上前歯を出しました。
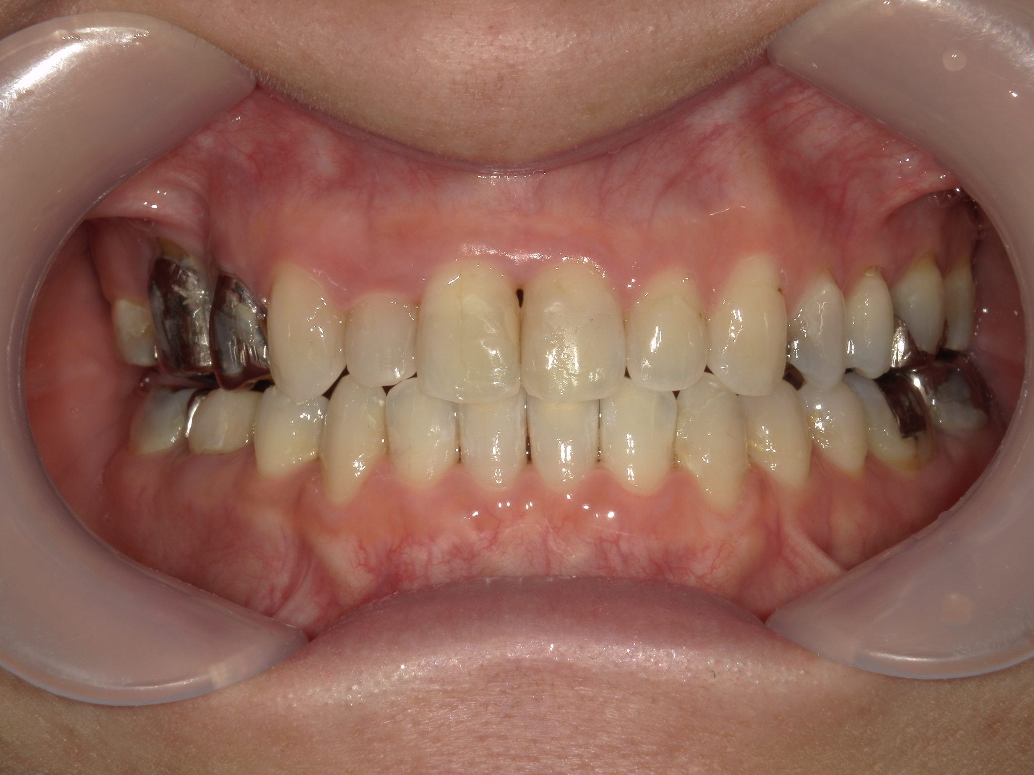
③矯正装置を除去し、インビザライン矯正で歯列を整えました。
| 年齢 | 50代女性 |
|---|---|
| 居住地 | 県西部在住 |
| 治療期間 (インビザライン矯正のみ) |
2年 |
| 費用 | 「診断料 27,500円」 「上顎骨切断OPE 165,000円」 「血液検査代 16,500円」 「矯正装置(MSE+フェイスマスク) 165,000円」 「ミニインプラント(4本以上) 110,000円」 「インビザライン治療費 880,000円」 「抜歯代(2本) 11,000円」 「月々の調整費 無料」 ※ワイヤー矯正代はサービス |
| リスク | ・矯正装置装着後、数日間は歯が浮いたような痛みがあります。 ・稀に、歯を動かすことで歯根吸収、歯髄壊死を起こす可能性があります。 ※歯根吸収・・・歯の根が短くなること ※歯髄壊死・・・歯髄(歯の中の神経を含めた組織)が死んでしまうこと ・成長期の歯並びに影響したり、親不知が生えたり、顎関節症の原因となる場合には、抜歯をする可能性があります。 ・矯正治療途中で、白いプラスチック(レジン)を使って、歯の形態修正を行う可能性があります。また、エナメル質を削って隙間を作ったり、抜歯を行う可能性もあります。 ・白い被せ物(セラミックなど)や、保険外の被せ物をされている方は、歯の表面にアタッチメントを付けるため、除去する際に欠けるなどの破損したり、形が変わるなどの審美性が損なわれる可能性があります。 ・矯正治療中、口が開きにくくなったり、顎に音がするようになったり(クリック音)、痛くなったなどの症状が出た場合にはすぐにお知らせください。その場合は、顎関節の治療をすることがあります。 ・一日20時間以上使用しない場合は、治療期間が延長する可能性があります。 ・インビザライン単独では治せないケースがありますので、治療途中でワイヤー治療に変更する場合があります。 |











カテゴリー : 受け口(下顎前突)