鼻先と顎先を結んだラインのことで、口元の突出感やフェイスラインの印象など横顔のバランスを見る際の一つの目安とされる指標です。
※Eラインは美しさを評価する唯一の基準ではなく、骨格や年齢、性別によって理想像は異なります。
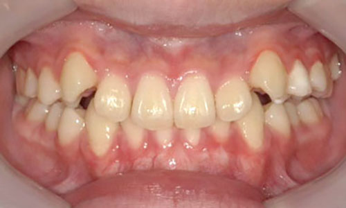
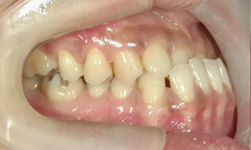
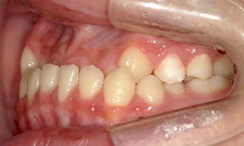
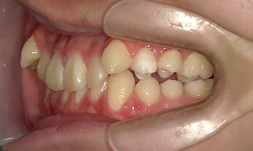
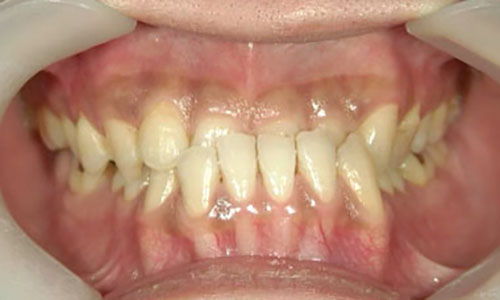
横顔Eライン矯正では、歯並びや噛み合わせを整えるだけでなく、横顔の美しさに繋がるEラインも大切にしています。矯正治療というと「歯並びをきれいにする治療」というイメージをお持ちの方が多いかもしれません。しかし、治療の目的や設計によっては仕上がりの印象に違いが生じるため、必ずしも医学的に正しい歯並び=美しい横顔とは限らないケースもあります。当院ではまずしっかり噛めることと歯を長く健康に保つことを重視したうえで骨格からお口元のバランスを整え、フェイスラインや横顔の印象までをトータルで考えたワイヤー矯正治療を行っております。口ゴボや出っ歯などのお悩みに対しても、歯列や噛み合わせそして横顔の美しさまでを見据えた矯正治療をご提案します。
| 項目 | 一般的な矯正治療 | 横顔Eライン 矯正治療 |
|---|---|---|
| 主な目的 | 噛み合わせ・ 歯列の改善 |
噛み合わせ+ 口元・横顔の バランス |
| 噛み合わせ | 安定性を重視 | 安定性を確保しつつ見た目にも配慮 |
| 口元の印象 | 大きな変化を伴わない場合も | 突出感やバランスを考慮 |
| 仕上がりの印象 | 機能面を重視 | 顔全体の調和を重視 |
横顔Eライン矯正の治療前には、口元や横顔を含めたバランスを確認しながら、顔全体の調和を意識した治療ゴールを共有することを大切にしています。歯の移動による変化を患者様自身がイメージしやすいよう、画像で確認できるシミュレーションを行っております。セファロ解析とは、頭部X線規格写真(セファログラム)を用いて、顔の骨格やあごの位置、歯の角度やバランスを数値化して分析する診断方法です。歯並びだけでなく、出っ歯や受け口などの原因となる骨格レベルの問題まで詳しく確認できます。これにより、目視だけでは分からないお口やお顔の特徴を客観的に把握し、お一人ひとりに適した治療計画の立案や、治療後の変化の予測が可能になります。
※シミュレーションについてのご注意
・画像は治療計画を検討するための参考イメージです
・実際の治療結果を保証するものではありません
・骨格や歯の状態により、変化の現れ方には個人差があります
※エステティックブラケット(白いブラケット)と白いワイヤーを希望される場合はオプション料金となります。
笑顔に彩りをプラスして自分らしく楽しみたい方にはカラフルなカラーゴムとの組み合わせも人気があります。
「歯科治療は、麻酔が痛くて怖い!!」と思っている方も多いのではないでしょうか?治療の痛みを無くすための麻酔にも関わらず、麻酔が痛くては意味がないですよね。当院では、治療前の麻酔注射時における痛み・不快感を軽減するため、『無痛麻酔』を実践しております。麻酔の痛みを抑えて、患者様の恐怖心を和らげることを心がけています。
完全に痛みがないわけではありませんが、お子様から大人の方まで、なるべく痛みを感じないようにするための工夫を行っています。具体的に言うと麻酔を粘膜内に注入するときに深さ0.7mmで一定のスピードで注入した後少し時間が経った後に再度麻酔をする(2段階麻酔法)ことで患者様の感じる痛みを軽減できます。矯正治療は痛いイメージがあると思いますが、なるべく痛くないよう麻酔も併用していくことにより、矯正治療のスピードも上がります。小さいお子様でも、麻酔が痛くないので抜歯や矯正治療もスムーズに進む子がほとんどです。
また矯正治療に伴う抜歯ですが、矯正力を利用した抜歯法をしているため、軽い力で数秒で抜けてしまう方が多いです。抜歯後の痛みのコントロールもお任せください。
※麻酔にアレルギー反応がある方は問診の際に必ず歯科医師に申告してください。
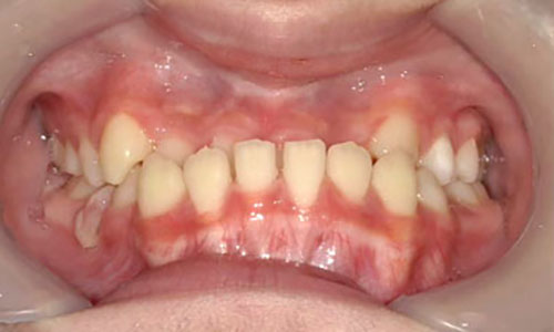
子供のうちに治療を始めることで改善できる場合もありますのでお早めにご相談下さい。
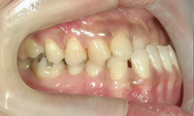
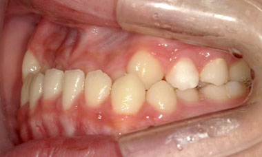
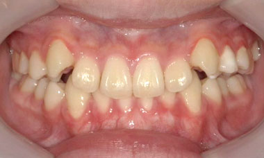
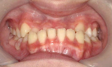
下顎が上顎より前に出た状態を受け口、または下顎前突と言います。顎が前に出て面長な印象を与えるほか、顎関節に悪影響を与えることもあります。骨格性のものは遺伝に因るところが大きいとされており、外科的な処置が必要になることもあります。子供のうちに治療を始めることで改善できる場合もありますのでお早めにご相談下さい。
下顎の成長しやすい方は前歯の噛み合わせが反対になると下顎が成長しやすくなるので早めに対応する事が大切です。特に男の子は12才頃から成長期によりさらに下顎が成長します。
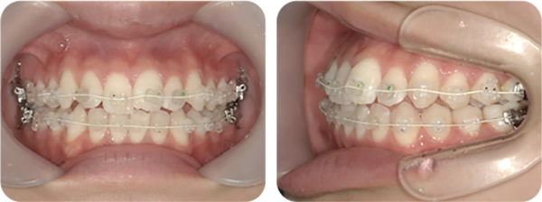
上顎を横に拡げながらフェイスマスク(下記の写真の装置)で前下方に引っ張り成長を促していきます。
下顎前突の治療に当院では、上顎を大きくすることで治療しております。その理由として、下顎前突の人は上顎が小さい人がほとんどであるからです。他にも下顎を小さくする方法がありますが、手術が大規模で全身麻酔、1ヶ月ほどの入院が必要です。
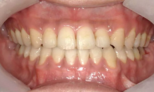
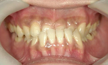
上顎を大きくするのに必要なのは簡単な上顎の手術と6ヶ月間、フェイスマスクを毎晩付けるだけです。手術も親知らずの抜歯程度の簡単なオペです。成人の男性で骨格性の受け口の方です。上顎を大きくすることで歯並びも顔のプロフィールも改善した症例です。お鼻の下の陥凹感が下の矯正前のお顔に比べて改善されました。当院では、矯正をただ歯並びだけ綺麗にするだけでなく、お顔のプロフィールを整えることや、左右に顎が偏位している症例など他の医院では難しいと言われた方にも色々な治療法のご提案をしています。
上顎を横に拡げながらフェイスマスク(下記の写真の装置)で前下方に引っ張り成長を促していきます。
矯正治療において、当院では治療に入る前にしっかりと時間をかけて口腔内検査をすることが重要であると考えています。特に歯列矯正では、まず検査を通して患者様お一人おひとりで異なる歯並びを詳細に把握する必要があります。現在のお口の状況からいかに目指す歯並びへと近付けていくか、事前に診査・診断を行い治療計画を立てていく過程が重要です。
当院ではマウスピース矯正で患者様の歯型を採る際、「iTero(アイテロ)」という口腔内スキャナーを使用した光学印象を行っています。従来のシリコン印象材を使った方法に比べて短時間で検査が終了し、嘔吐反射のある方にも適した方法です。さらに、読み取った情報をすぐにPC上に反映でき、その場で患者様に治療の3Dシミュレーションをお見せすることも可能です。
当院では多岐にわたる症例に携わり、患者様が抱える様々な歯並びのお悩みを矯正治療によって解決して参りました。一般的なワイヤー矯正はもちろん、インビザラインなどのマウスピース矯正、顎の骨の成長を促す床矯正など、お子様から大人の方まで、幅広い年齢・症状の患者様に対応しております。
これは数ある矯正装置の中から、患者様のご希望を最大限に考慮した装置をご提案し、治療してきた結果かと思われます。
歯科医院選びの基準として、矯正治療の症例数や経験値は大事なポイントの一つだと考えています。当院では、これまでの治療のデータとも照らし合わせながら多角的に治療内容を検討し、時には類似ケースとも比較することで、患者様に幅広い矯正治療の選択肢をご提示しております。
当院では、ポピュラーな方法だけではなく、矯正とインプラントなど、複数の治療を組み合わせた方法でも患者様の歯並び・噛み合わせを改善させることに成功しております。外科処置が必要な症例も得意としており、歯科医療全体を見据えた総合的な視点で、より多くの治療の選択肢をご提示することが可能です。
ここ浜松市にお住いの方を中心に、皆様が整った口元で健康的な生活を送れるよう、地域に根差した歯科医院としてさらなる研鑽に努めています。治療の精度・技術・診療環境、そのいずれも安心できるレベルを維持し、ドクターの経験値や矯正治療の症例数を引き続き伸ばしていくことで、常に患者様にご満足いただける治療をご提供していく所存です。
はじめまして。いとう歯科矯正歯科ティースエクセレントクリニックの院長の伊藤です。よく噛めること、整ったきれいな口元で笑えること、それらは心身ともに健康的な生活を送るために欠かせない要素です。
当院では患者様の意思を尊重した診療を行っており、新しい治療方法も取り入れながら、症状に合わせて複数の治療をご提案できるように日々研鑽に努めています。そして、その中から患者様にとって最善と思える治療を提供できたらと考えています。
インビザラインなどの審美性の高い透明のマウスピース矯正は、目立たず取り外しも自由に行える、様々なライフスタイルの方におすすめできる治療です。
また、必要に応じて矯正以外の治療も可能ですので、歯のことでお悩みがある方はぜひ一度ご相談にいらして下さい。お一人おひとりの患者様と丁寧に向き合い、誠意を持って診療にあたって参りますので、どうぞ宜しくお願い致します。
| 平成5年 | 広島大学 歯学部 卒業 |
|---|---|
| 平成5年~ 平成10年 |
浜松市元浜町手嶋歯科医院勤務 |
| 平成10年 | 伊藤歯科医院 開業 |
| 平成19年 | 医療法人社団 俊風会 設立、理事長 就任 |
| 平成21年 | ティースエクセレントクリニック 開院 |
| 平成30年 2月 |
伊藤歯科医院、ティースエクセレントクリニック 移転のため、閉院 開院 |
| 平成30年 3月 |
いとう歯科矯正歯科ティースエクセレントクリニック移転・開院 |

| 平成5年 | 広島大学 歯学部 卒業 |
|---|---|
| 平成5年~平成10年 | 浜松市元浜町手嶋歯科医院勤務 |
| 平成10年 | 伊藤歯科医院 開業 |
| 平成19年 | 医療法人社団 俊風会 設立、理事長 就任 |
| 平成21年 | ティースエクセレントクリニック 開院 |
| 平成30年2月 | 伊藤歯科医院、ティースエクセレントクリニック 移転のため、閉院 開院 |
| 平成30年3月 | いとう歯科矯正歯科ティースエクセレントクリニック移転・開院 |


