矯正治療例Orthodontic treatment example

全顎ワイヤー矯正治療例一覧

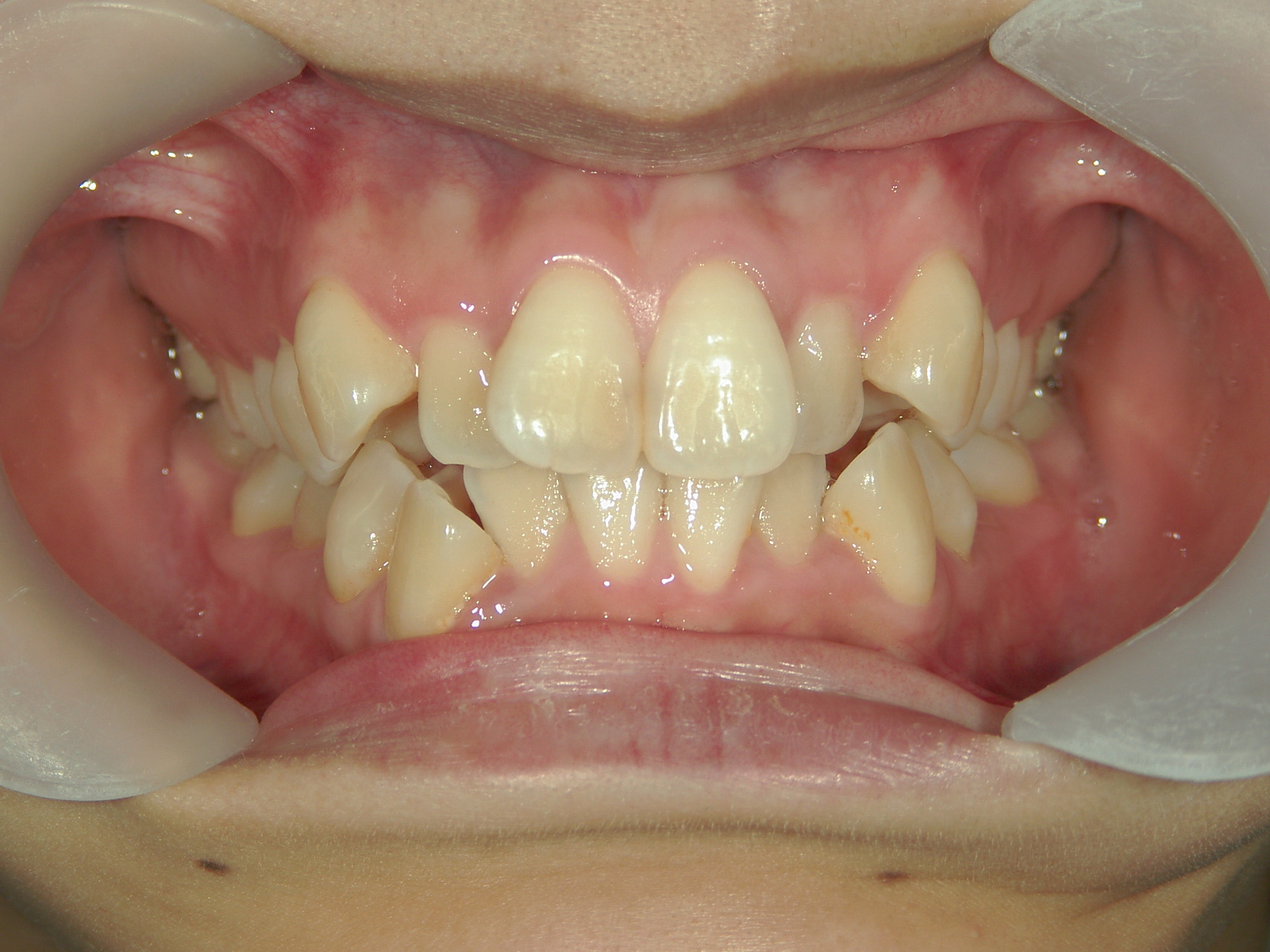
全顎ワイヤー矯正 症例(72)

カテゴリー :

全顎ワイヤー矯正 症例(72) 左上前歯が細いので、抜歯して左上犬歯を前歯へ、左上 第一小臼歯を犬歯へ移動させました。

詳しく見る

全顎ワイヤー矯正 症例(71)

全顎ワイヤー矯正 症例(71) 左右上 前歯2本を抜歯後、空隙を閉鎖しました。
Ⅱ級・Ⅲ級ゴムを併用し、咬合を緊密化させました。

詳しく見る

全顎ワイヤー矯正 症例(70)

カテゴリー :

全顎ワイヤー矯正 症例(70) 左右下 第一小臼歯2本、左上 第一大臼歯1本、右上 前歯1本を抜歯。
・抜歯した右上前歯の隣りの歯を抜歯してあいたスペースで移動。
・右上犬歯を移動して、開いたスペースへ移動。
・右上 第一小臼歯を移動して犬歯のスペースへ移動。

詳しく見る

全顎ワイヤー矯正 症例(69)

カテゴリー :

全顎ワイヤー矯正 症例(69) インプラント治療を希望されていましたが、骨が薄くOPEは難しい。
右上前歯を歯が抜けた部分へ移動させ、
骨がしっかりしている隣りの歯のスペースにインプラントを埋入しました。
咬合もⅡ級だった為、左右下の親不知を抜歯し、下顎を後方へ移動させました。
矯正終了後、前歯2本に補綴物を冠せました。

詳しく見る

いとう歯科矯正歯科ティースエクセレントクリニック
〒430-0947 静岡県浜松市中央区松城町211-3
TEL 053-415-8888

 
9:00 - 13:00              
15:00 - 19:00              

:10:00~15:00(最終受付14:00)の診療 
【休診日】水・日・祝
※祝日のある週の水曜日は診療日となります

Google MAPで見る
タップで電話がかかります 053-415-8888 採用情報・スタッフ紹介 矯正無料相談予約
  • お問い合わせ
  • 矯正治療例