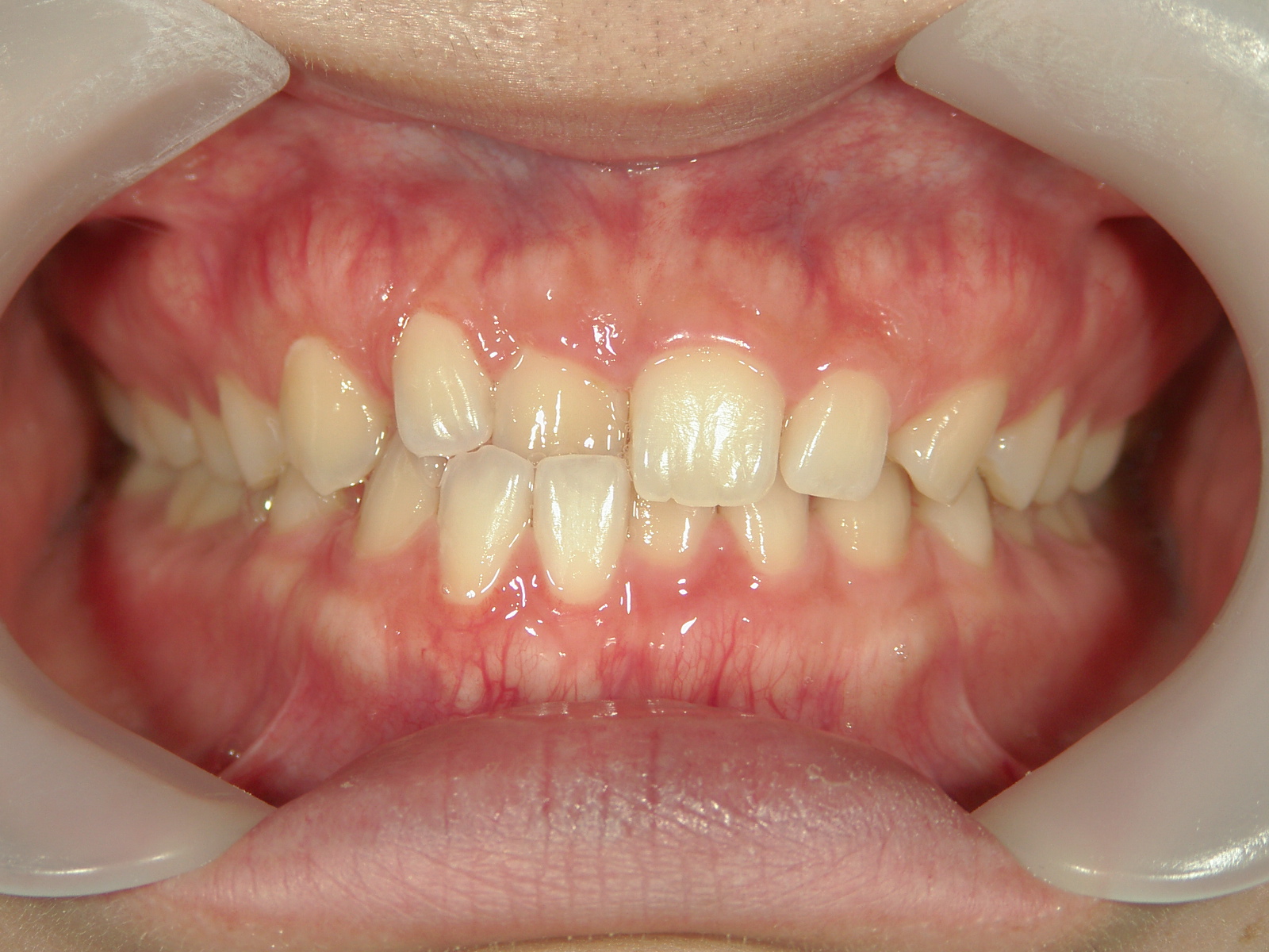
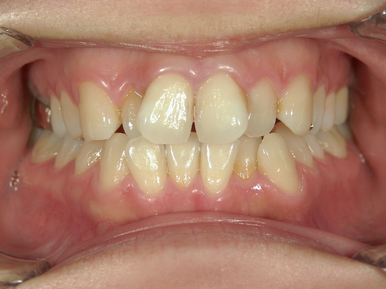
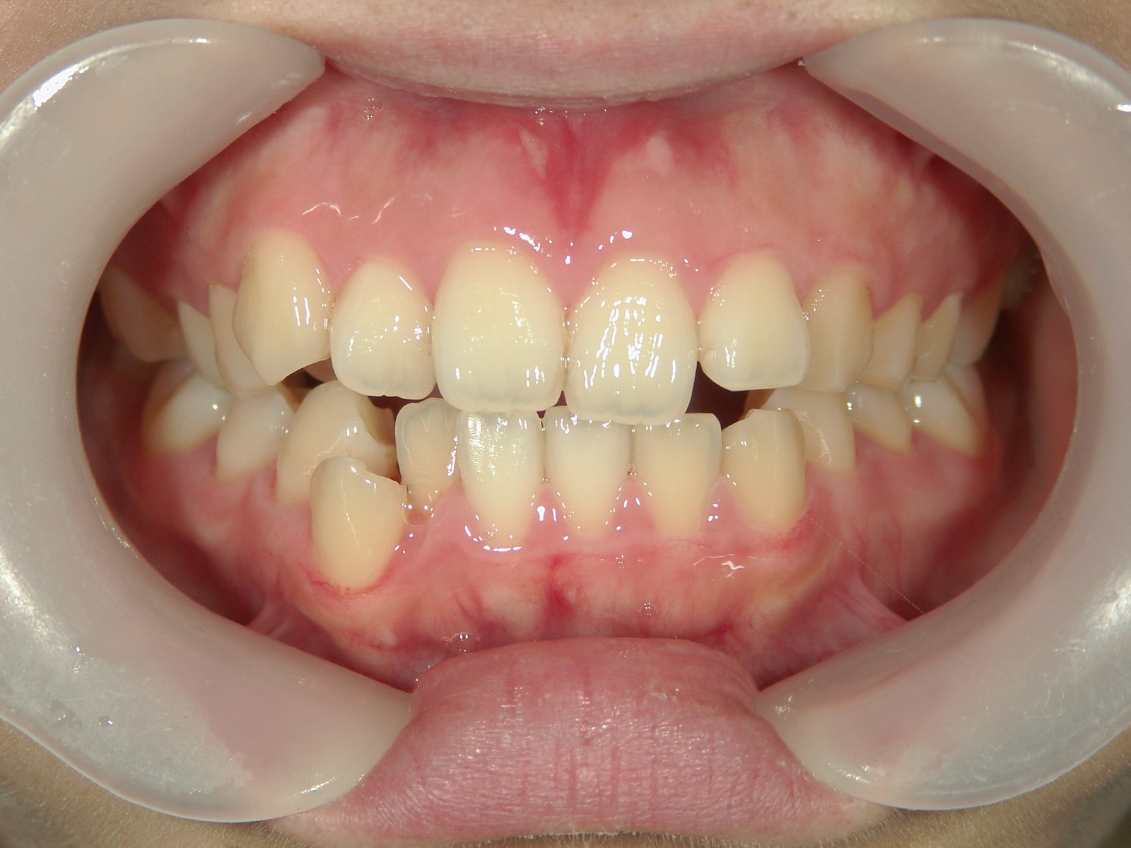
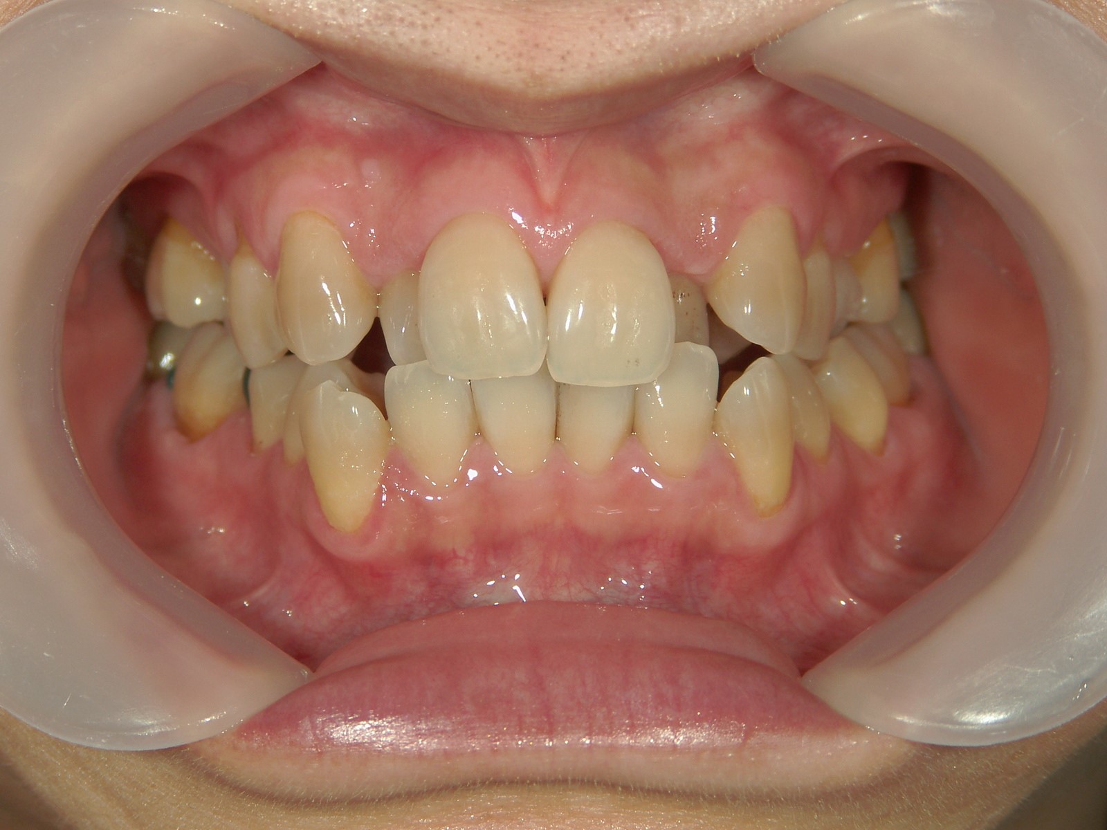
矯正治療例Orthodontic treatment example

いとう歯科矯正歯科ティースエクセレントクリニック
〒430-0947 静岡県浜松市中央区松城町211-3
TEL 053-415-8888

 
9:00 - 13:00              
15:00 - 19:00              

:10:00~15:00(最終受付14:00)の診療 
【休診日】水・日・祝
※祝日のある週の水曜日は診療日となります

Google MAPで見る
タップで電話がかかります 053-415-8888 採用情報・スタッフ紹介 矯正無料相談予約
  • お問い合わせ
  • 矯正治療例