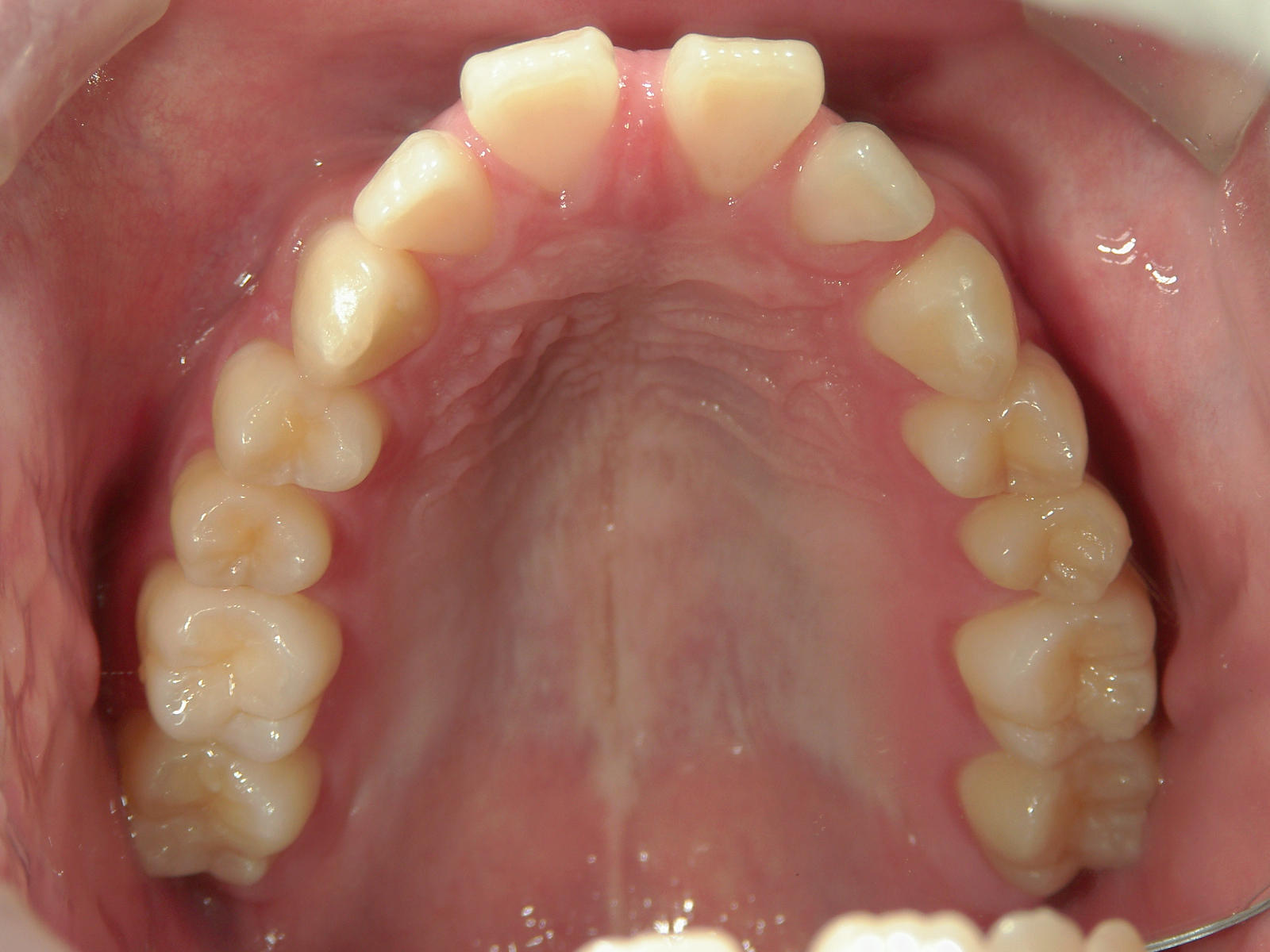
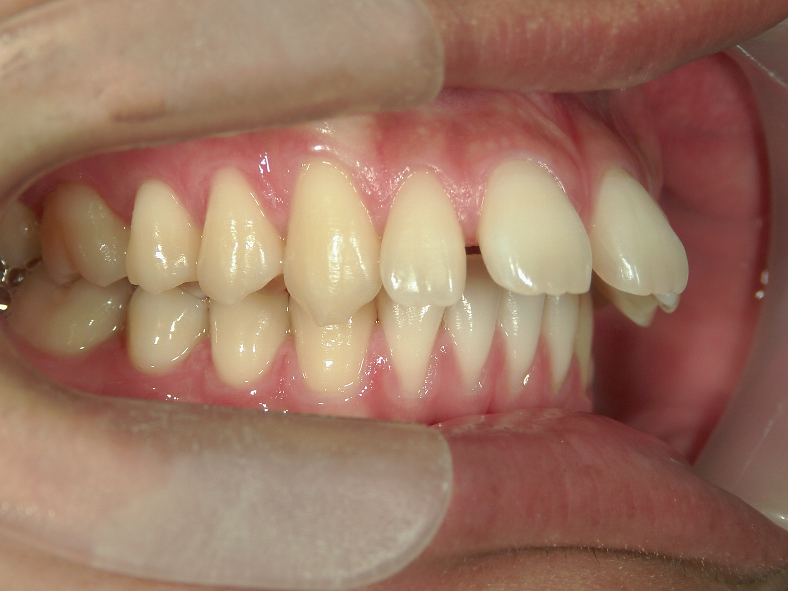
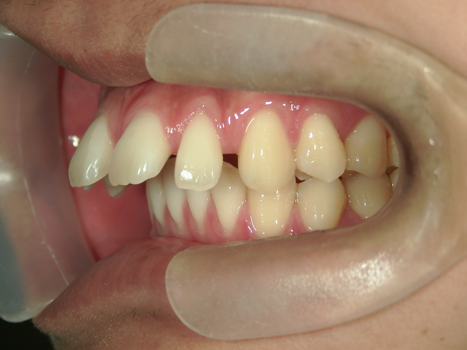
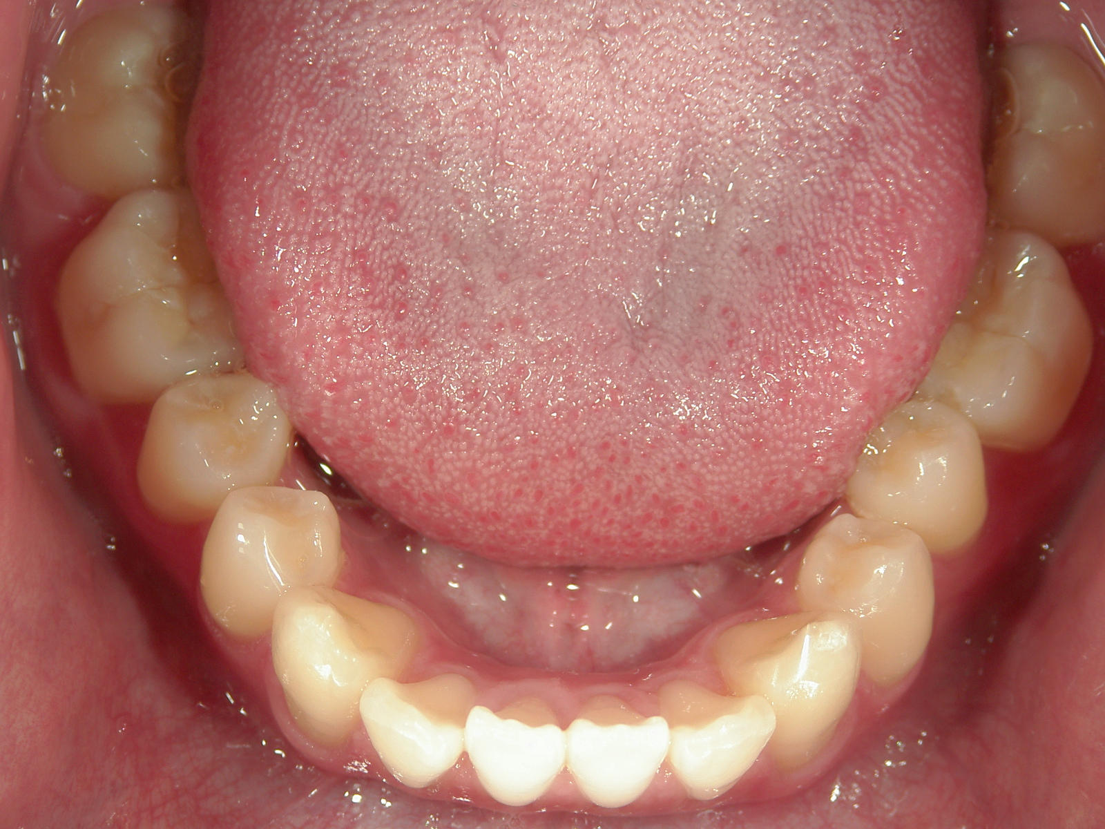
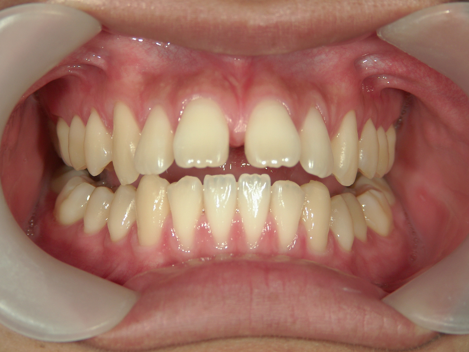
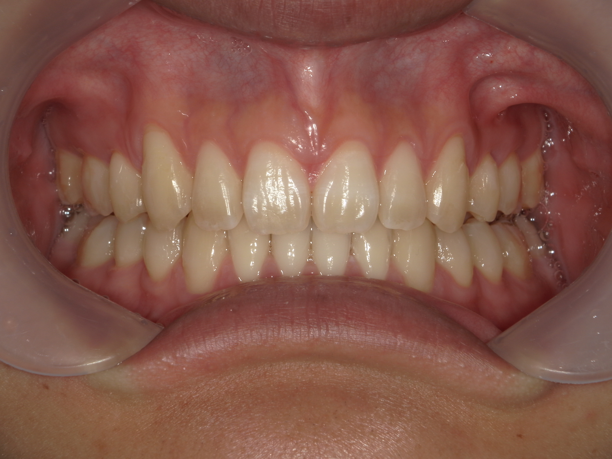
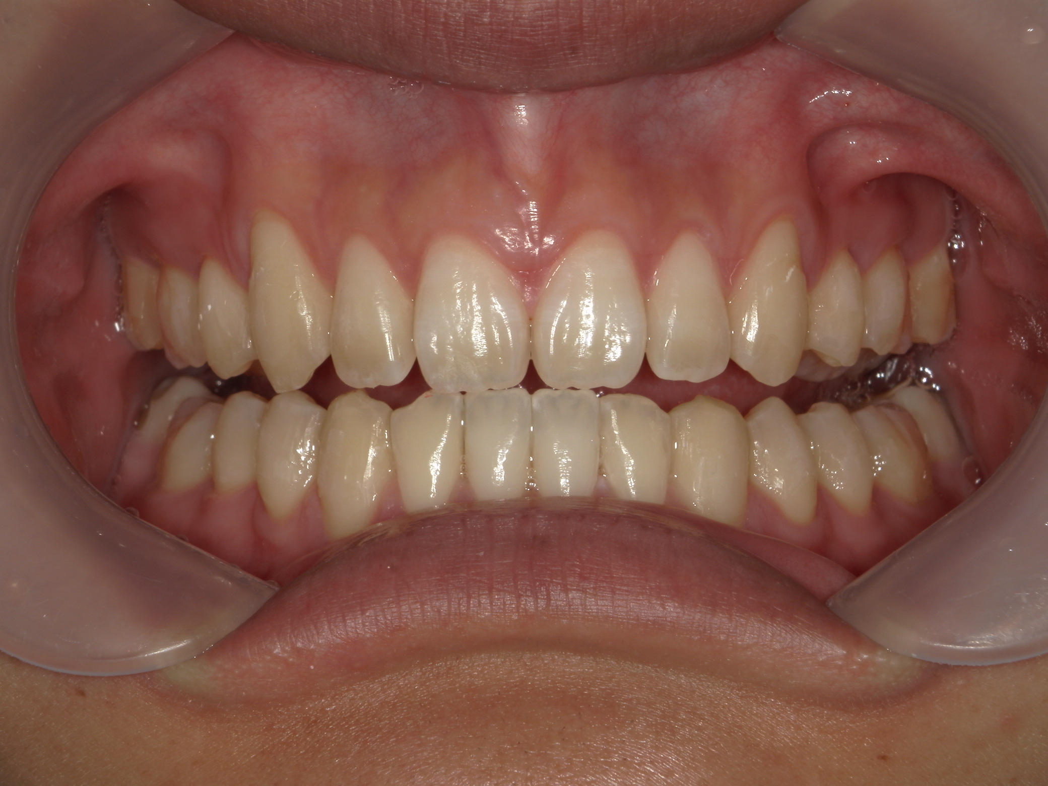
インビザライン矯正 症例(24)
主訴: 前歯の隙間が気になる。
再設計1回。
左右上 第一小臼歯(2本)を抜歯。
スライスカットを併用。
治療の流れ
| 年齢 | 20代男性 |
|---|---|
| 居住地 | 磐田市 |
| 治療期間 | 2年3ヶ月 |
| 費用 | 「診断料 27,500円」 「治療代 880,000円」 「月々の調整費 無料」 |
| リスク | ・矯正装置装着後、数日間は歯が浮いたような痛みがあります。 ・稀に、歯を動かすことで歯根吸収、歯髄壊死を起こす可能性があります。 ※歯根吸収・・・歯の根が短くなること ※歯髄壊死・・・歯髄(歯の中の神経を含めた組織)が死んでしまうこと ・成長期の歯並びに影響したり、親不知が生えたり、顎関節症の原因となる場合には、 抜歯をする可能性があります。 ・矯正治療途中で、白いプラスチック(レジン)を使って、歯の形態修正を行う可能性があります。また、エナメル質を削って隙間を作ったり、抜歯を行う可能性もあります。 ・白い被せ物(セラミックなど)や、保険外の被せ物をされている方は、 歯の表面にアタッチメントを付けるため、除去する際に欠けるなどの破損したり、形が変わるなどの審美性が損なわれる可能性があります。 ・矯正治療中に虫歯が発見された場合は、同時に治療することも可能ですが、 歯の形に大きく影響がある場合は、矯正治療を中断する可能性もあります。 ・矯正治療中、口が開きにくくなったり、顎に音がするようになったり(クリック音)、 痛くなったなどの症状が出た場合にはすぐにお知らせください。 その場合は、顎関節の治療をすることがあります。 ・1日20時間以上使用しない場合は治療期間が延長する可能性があります。 ・インビザライン単独では治せないケースがありますので、 治療途中でワイヤー治療に変更する場合があります。 |








カテゴリー : 隙間がある(空隙歯列)