インビザライン(ライト)矯正 症例(28)
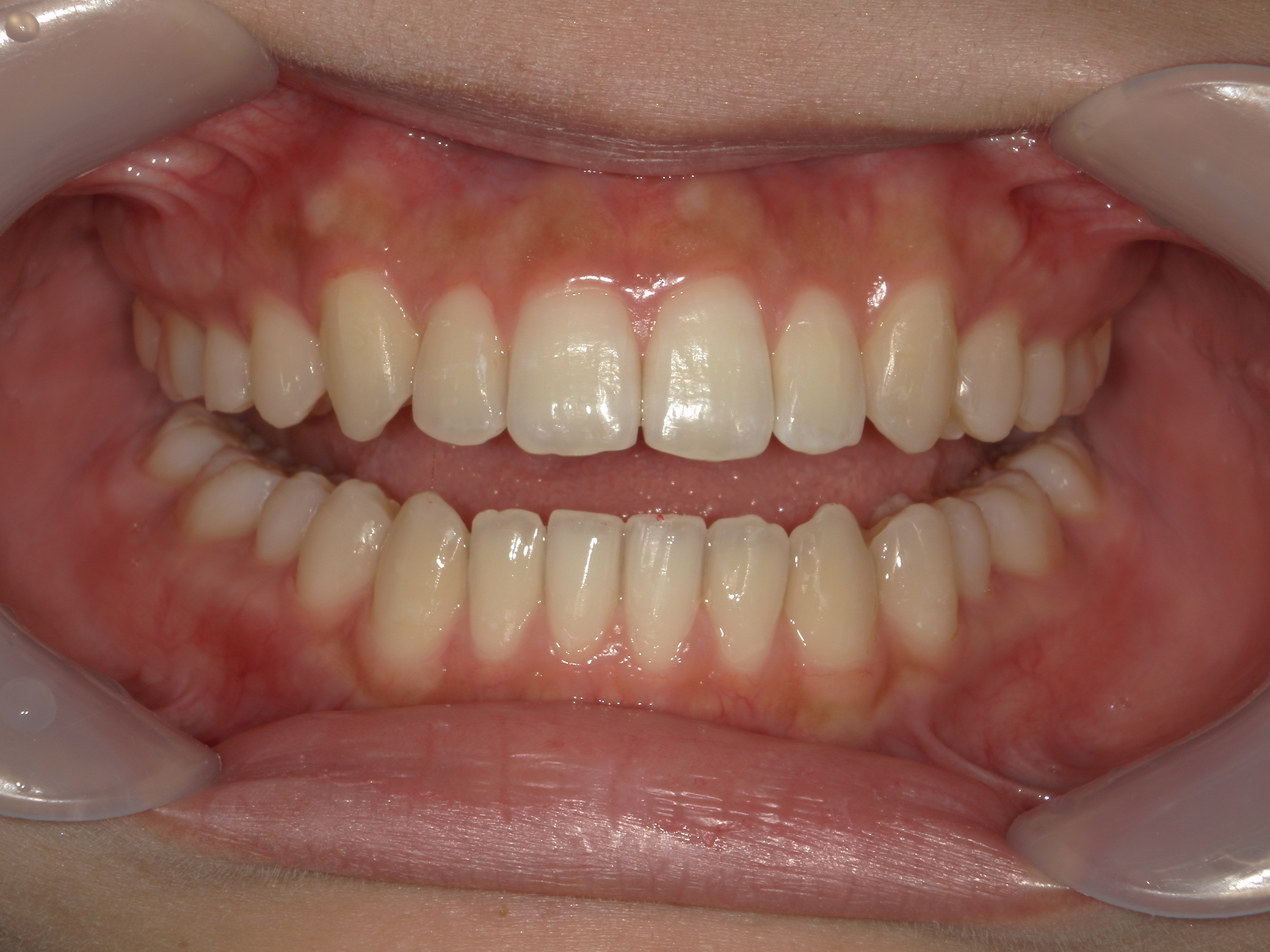
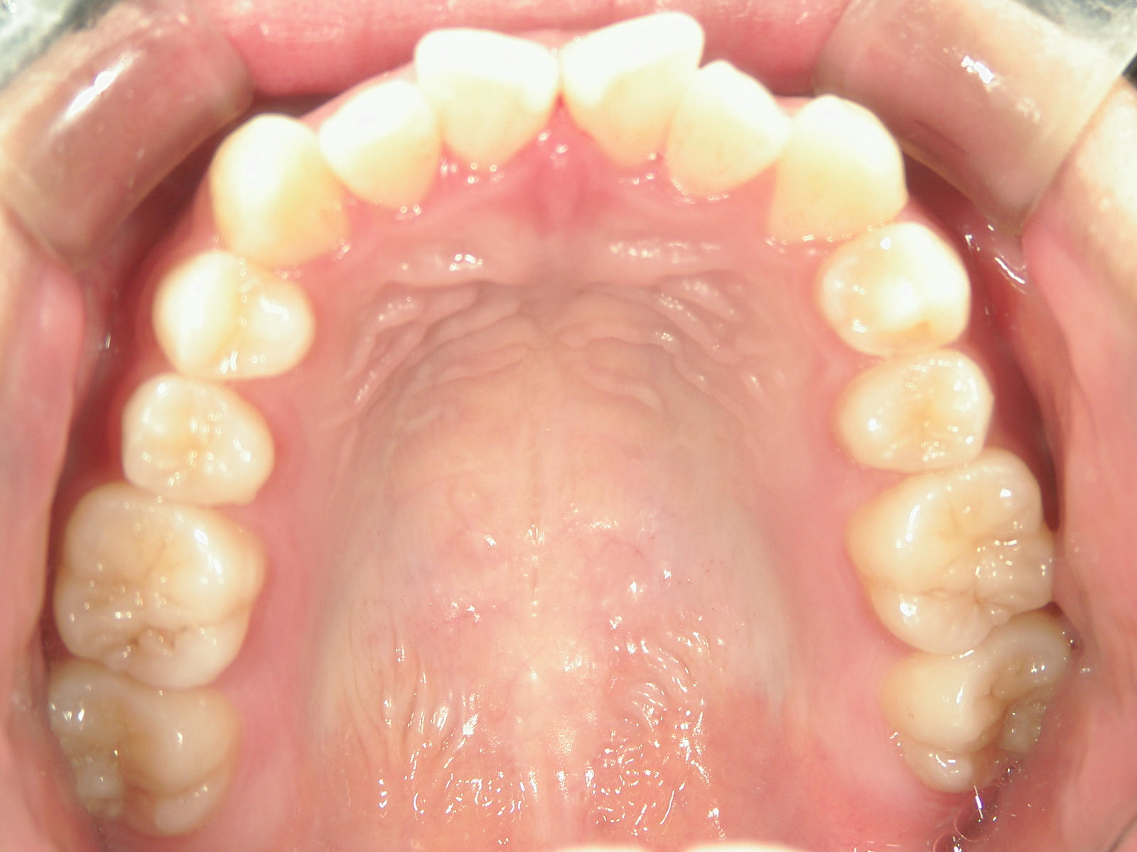
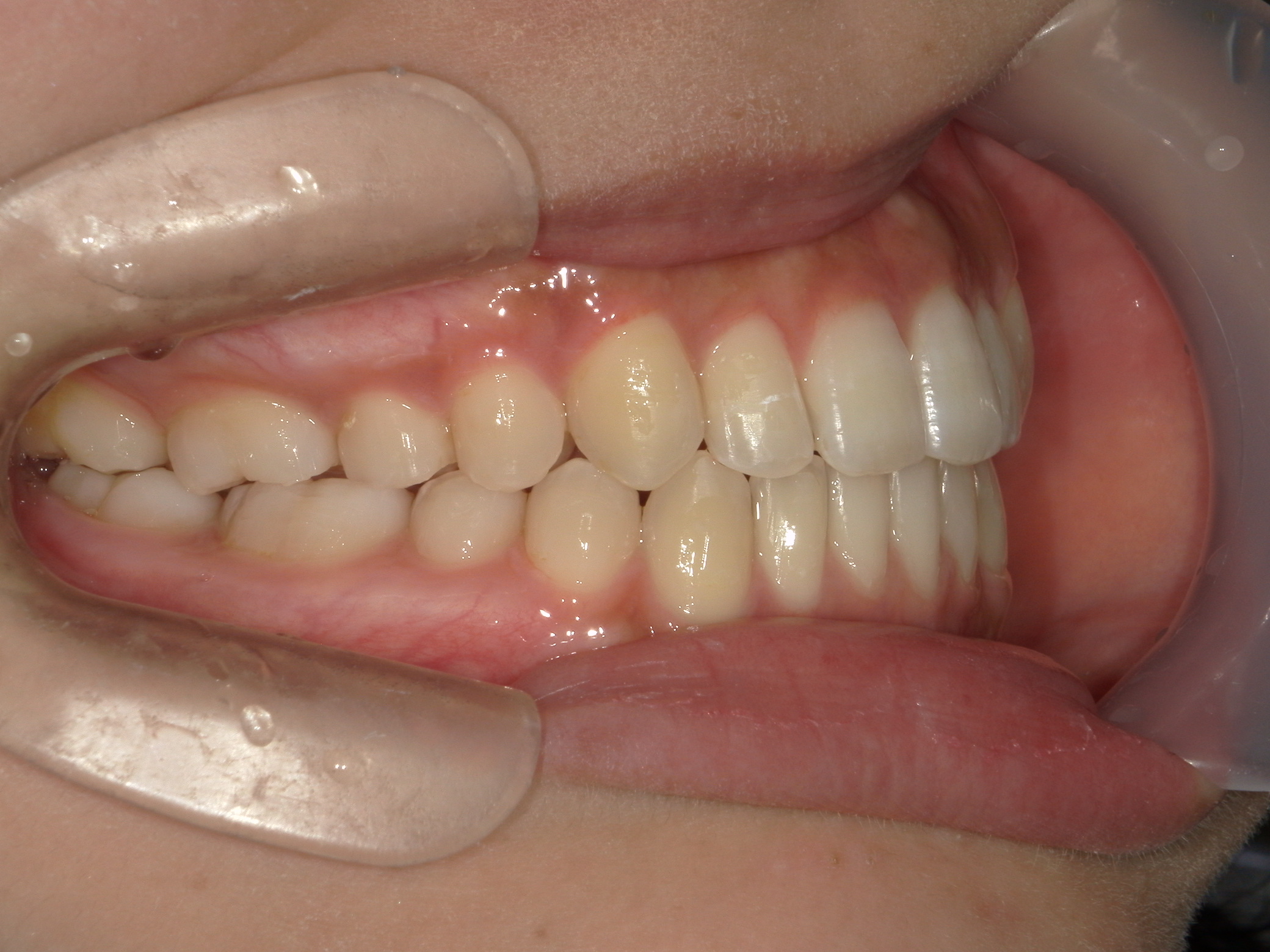
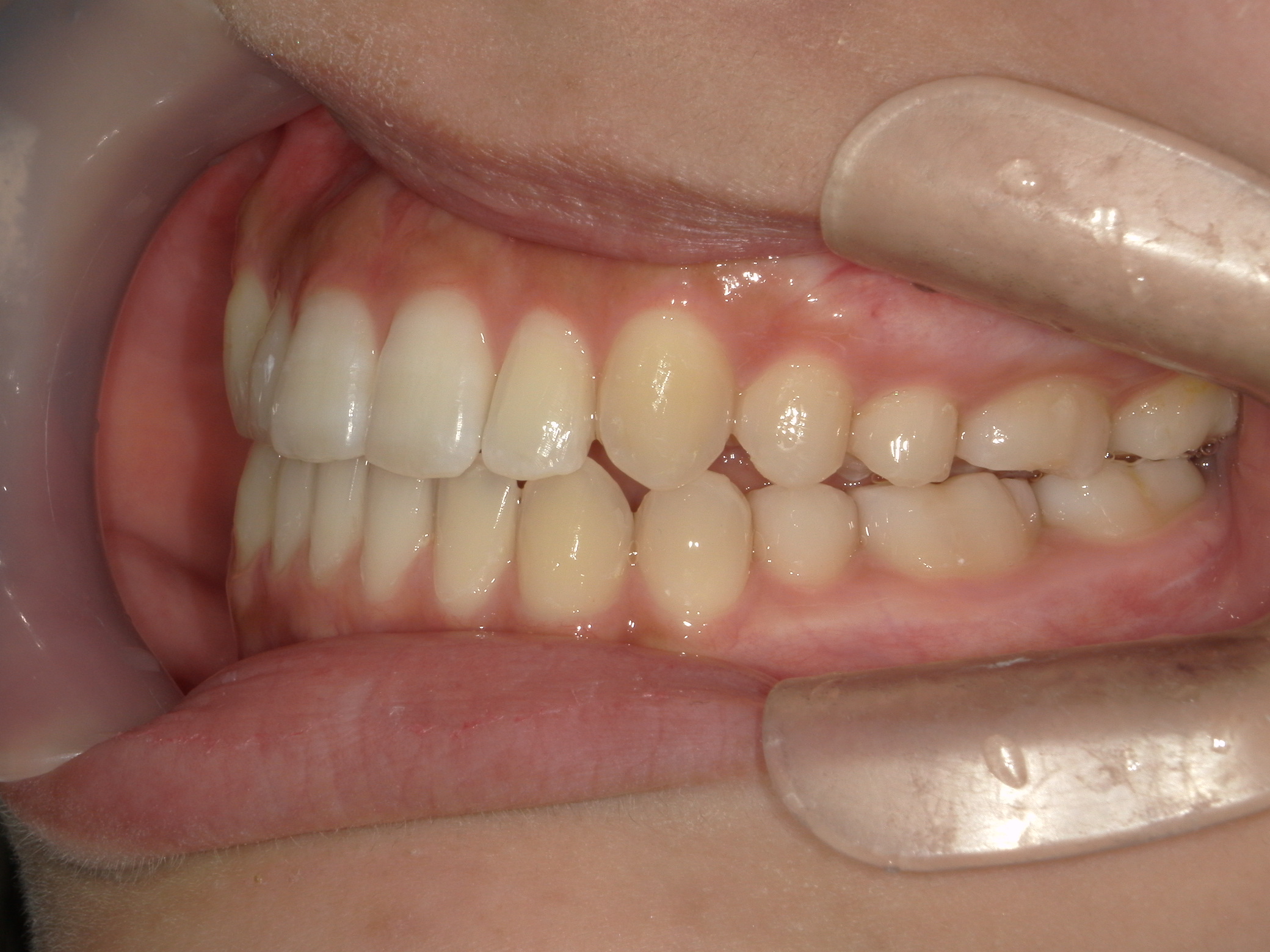
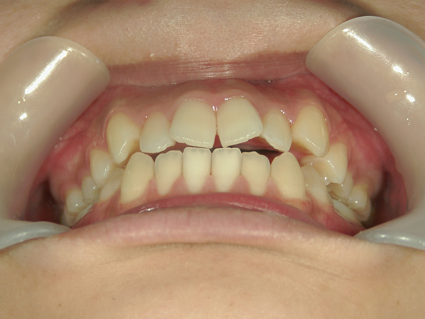
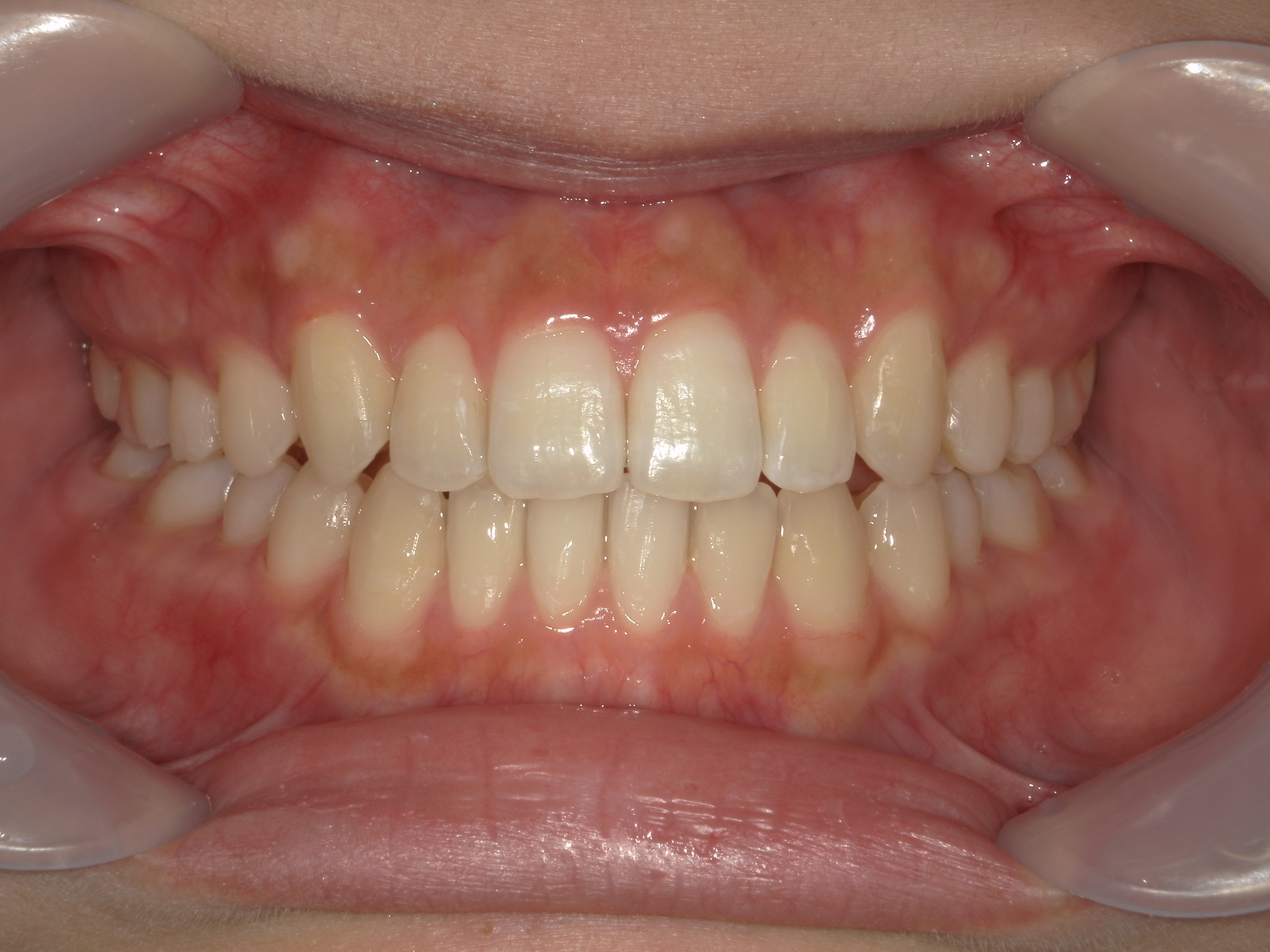
主訴: 前歯の歯並びが気になる。
インビザライン(ライト)14枚制限。
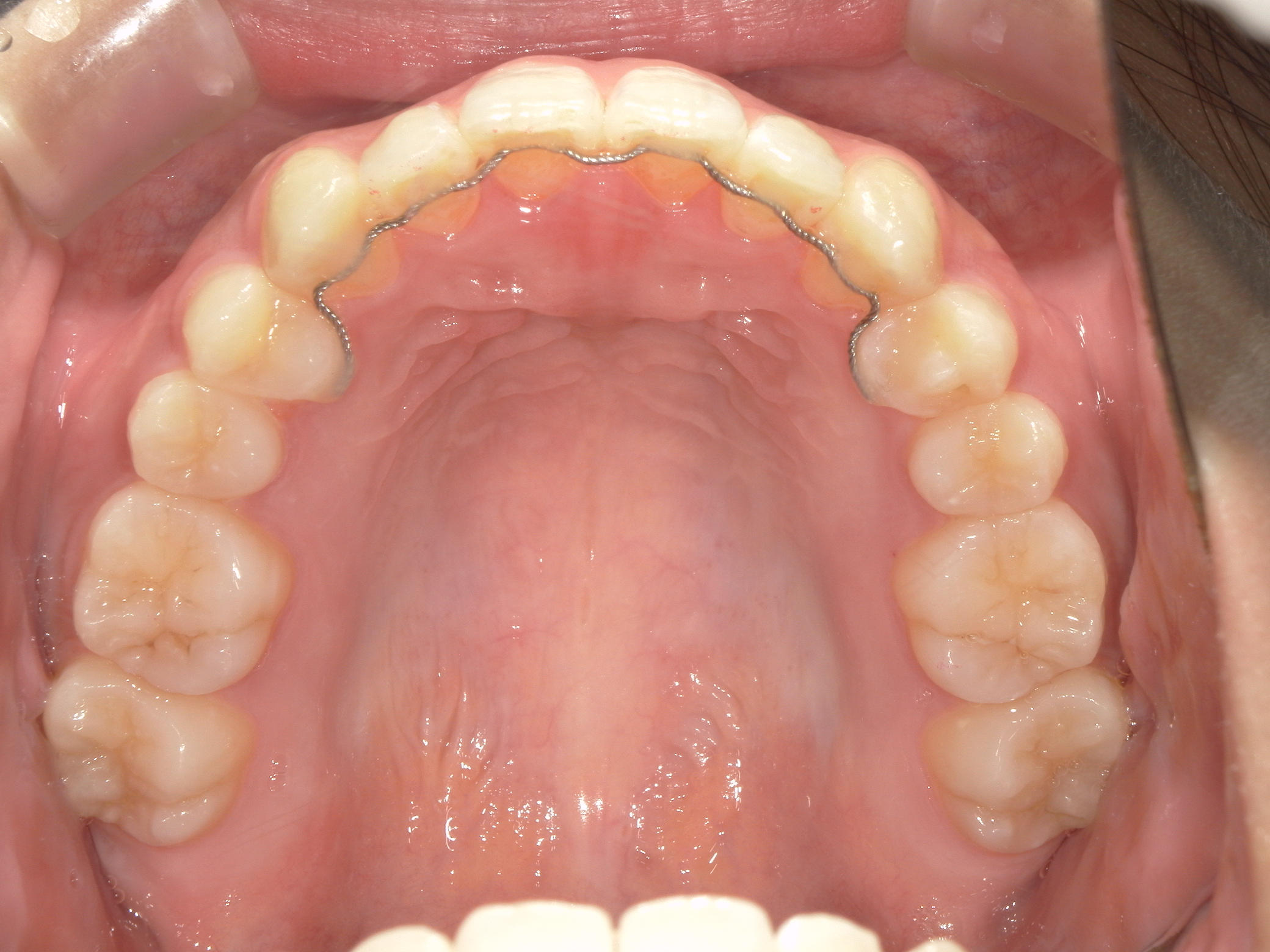
オートリファイメント1回使用。
スライスカットを併用。
治療の流れ
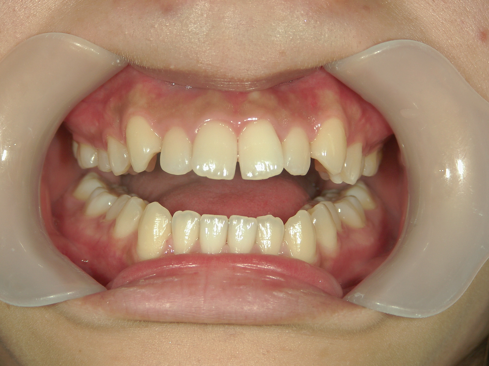
スライスカットをすることによって叢生を改善しました。
| 年齢 | 20代女性 |
|---|---|
| 居住地 | 県西部在住 |
| 治療期間 | 1年10ヶ月 |
| 費用 | 「診断料 27,500円」 「治療費 550,000円」 「月々の調整費 無料」 |
| リスク | ・矯正装置装着後、数日間は歯が浮いたような痛みがあります。 ・稀に、歯を動かすことで歯根吸収、歯髄壊死を起こす可能性があります。 ※歯根吸収・・・歯の根が短くなること ※歯髄壊死・・・歯髄(歯の中の神経を含めた組織)が死んでしまうこと ・成長期の歯並びに影響したり、親不知が生えたり、顎関節症の原因となる場合には、抜歯をする可能性があります。 ・矯正治療途中で、白いプラスチック(レジン)を使って、歯の形態修正を行う可能性があります。また、エナメル質を削って隙間を作ったり、抜歯を行う可能性もあります。 ・白い被せ物(セラミックなど)や、保険外の被せ物をされている方は、歯の表面にアタッチメントを付けるため、除去する際に欠けるなどの破損したり、形が変わるなどの審美性が損なわれる可能性があります。 ・矯正治療中、口が開きにくくなったり、顎に音がするようになったり(クリック音)、痛くなったなどの症状が出た場合にはすぐにお知らせください。その場合は、顎関節の治療をすることがあります。 ・一日20時間以上使用しない場合は、治療期間が延長する可能性があります。 ・インビザライン単独では治せないケースがありますので、治療途中でワイヤー治療に変更する場合があります。 |








カテゴリー : ガタガタ(叢生)